|
即刻稳定和负重 / Bicon一体化基台冠/ 聚瓷材料附熔金属: 拔牙、植骨、全口植入23颗两阶段式和即刻负重的种植体,用21颗一体化基台冠和一个三单位金属树脂固定桥修复(第二部分) |
||
(注意:此病例分为两部分,这是第二部分。 点击此处查看第一部分) |
||
|
||
![]() |
1. | 12颗上颌的一体化基台冠。 |
![]() |
2. | 制作定制热凝塑料就位夹具。 |
![]() |
3. | 制作定制热凝塑料就位夹具。 |
![]() |
4. | 石膏模型上的一体化基台冠以及在牙冠排列器上制作的黄色热凝塑料就位夹具,夹具能引导就位力沿种植体内径和基台柱的长轴方向传递。 |
![]() |
5. | 石膏模型上一体化基台冠的颊侧观。 |
![]() |
6. | 石膏模型上一体化基台冠的腭侧观。 |
![]() |
7. | 蓝色丙烯酸放在一体化基台冠上,制作定位模板。 |
![]() |
8. | 就位在一体化基台冠上的完成的透明丙烯酸定位模板的 |
![]() |
9. | 石膏模型上的一体化基台冠和丙烯酸定位模板。 |
![]() |
10. | 9颗下颌一体化基台冠和一个三单位的义齿。 |
![]() |
11. | 制作定制热凝塑料就位夹具。 |
![]() |
12. | 制作定制热凝塑料就位夹具。 |
![]() |
13. | 石膏模型上的一体化基台冠以及在牙冠排列器上制作的黄色热凝塑料就位夹具,夹具能引导就位力沿种植体内径和基台柱的长轴方向传递。 |
![]() |
14. | 石膏模型上一体化基台冠的颊侧观。 |
![]() |
15. | 石膏模型上一体化基台冠及一三单位的义齿的舌侧观。 |
![]() |
16. | 蓝色丙烯酸放在一体化基台冠上,制作定位模板。 |
![]() |
17. | 就位在一体化基台冠上的完成的透明丙烯酸定位模板的 |
![]() |
18. | 石膏模型上的一体化基台冠和丙烯酸定位模板。 |
![]() |
19. | 病人第一次就诊11个月后戴着临时义齿时的微笑。 |
![]() |
20. | 石膏模型上的12颗上颌一体化基台冠的唇颊侧观。 |
![]() |
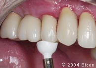
21. | 拆除临时义齿后,临时基台的 |
![]() |
22. | 种植体内径和龈袖口。 |
![]() |
23. | 种植体内径和龈袖口。 |
![]() |
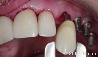
24. | 试戴一体化基台冠。 |
![]() |
25. | 切开腭侧的软组织,以便于一体化基台冠的就位。 |
![]() |
26. | 试戴一体化基台冠。 |
![]() |
27. | 轻敲透明丙烯酸定位模板使基台冠的锥形锁柱连接关系初步就位。 |
![]() |
28. | 试戴一体化基台冠。 |
![]() |
29. | 用牙线检查邻间隙,确定其邻接良好,不会影响锥形锁柱的连接关系。 |
![]() |
30. | 试戴一体化基台冠。 |
![]() |
31. | 切开腭侧的软组织,以便于一体化基台冠的就位。 |
![]() |
32. | 切开腭侧的软组织,以便于一体化基台冠的就位。 |
![]() |
33. | 用牙线检查邻间隙,确定其邻接良好,不会影响锥形锁柱的连接关系。 |
![]() |
34. | 利用咬合纸检查确认邻接关系是被动邻接。 |
![]() |
35. | 用白色硅树脂抛光轮调磨一体化基台冠的邻接面。 |
![]() |
36. | 利用透明丙烯酸定位模板确定一体化基台冠的位置。 |
![]() |
37. | 就位的基台冠的唇侧观。 |
![]() |
38. | 试戴一体化基台冠。 |
![]() |
39. | 初步就位的基台冠相应的牙龈处发白。 |
![]() |
40. | 切开腭侧的软组织,以便于一体化基台冠的就位。 |
![]() |
41. | 去除多余的腭侧软组织。 |
![]() |
42. | 重新就位的一体化基台冠。 |
![]() |
43. | 一体化基台冠就位前卸下临时基台。 |
![]() |
44. | 轻敲钳子柄,卸下隐肩基台。 |
![]() |
45. | 试戴一体化基台冠。 |
![]() |
46. | 利用透明丙烯酸定位模板确定一体化基台冠的位置。 |
![]() |
47. | 试戴一体化基台冠。 |
![]() |
48. | 利用透明丙烯酸定位模板确定一体化基台冠的位置。 |
![]() |
49. | 为了使用龈沟绞刀,将红色的2.0mm加长引导杆插入种植体内径。 |
![]() |
50. | 用金色的5.0mm龈沟绞刀清除任何会影响一体化基台冠完全就位的软硬组织。 |
![]() |
51. | 戴入有基台柱加长的一体化基台冠。 |
![]() |
52. | 利用透明丙烯酸定位模板确定一体化基台冠的位置。 |
![]() |
53. | 卸下临时基台。 |
![]() |
54. | 试戴一体化基台冠。 |
![]() |
55. | 利用透明丙烯酸定位模板确定一体化基台冠的位置。 |
![]() |
56. | 试戴一体化基台冠。 |
![]() |
57. | 上颌的一体化基台冠就位后。 |
![]() |
58. | 石膏模型上的9颗下颌一体化基台冠和一三单位的桥。 |
![]() |
59. | 利用修复体来确定研磨基台的定位。 |
![]() |
60. | 利用修复体来确定研磨基台的定位。 |
![]() |
61. | 切除牙龈嵴顶的软组织,以便于一体化基台冠的就位。 |
![]() |
62. | 切下牙龈嵴顶的软组织以适应修复体。 |
![]() |
63. | 修复体戴上基台。 |
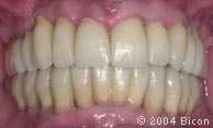
![]() |
64. | 粘接前用X光片检查义齿初步就位是否合适。 |
![]() |
65. | 将红色的2.0mm加长引导杆插入种植体内径。 |
![]() |
66. | 用金色的5.0mm龈沟绞刀清除任何会影响一体化基台冠完全就位的软硬组织。 |
![]() |
67. | 取下金色的5.0mm龈沟绞刀时可见除下的过多的骨组织。 |
![]() |
68. | 试戴一体化基台冠。 |
![]() |
69. | 利用透明丙烯酸定位模板确定一体化基台冠的位置。 |
![]() |
70. | 试戴一体化基台冠。 |
![]() |
71. | 舌侧做减张切口,以便于一体化基台冠的就位。 |
![]() |
72. | 用金色的5.0mm龈沟绞刀清除任何会影响一体化基台冠完全就位的软硬组织。 |
![]() |
73. | 用抛光纸调磨邻接面,减少因邻接过紧而影响锥形锁柱连接关系的可能。 |
![]() |
74. | 旋转5.0mm的龈沟绞刀钻清除任何会影响基台冠完全就位的软硬组织。 |
![]() |
75. | 试戴一体化基台冠。 |
![]() |
76. | 试戴一体化基台冠。 |
![]() |
77. | 卸下临时基台。 |
![]() |
78. | 利用透明丙烯酸定位模板确定一体化基台冠的位置。 |
![]() |
79. | 试戴一体化基台冠。 |
![]() |
80. | 将红色的2.0mm加长引导杆插入种植体内径。 |
![]() |
81. | 用金色的5.0mm龈沟绞刀清除任何会影响一体化基台冠完全就位的软硬组织。 |
![]() |
82. | 试戴一体化基台冠。 |
![]() |
83. | 用牙线检查邻间隙,确定其邻接良好,不会影响锥形锁柱的连接关系。 |
![]() |
84. | 试戴一体化基台冠。 |
![]() |
85. | 试戴一体化基台冠。 |
![]() |
86. | 就位的一体化基台冠和三单位的桥就位后的唇颊侧观。 |
![]() |
87. | 将白色愈合基台装在直柄上轻敲基台冠,使其在种植体内径中完全就位。 |
![]() |
88. | 将白色愈合基台装在直柄上轻敲基台冠,使其在种植体内径中完全就位。 |
![]() |
89. | 将白色愈合基台装在直柄上轻敲基台冠,使其在种植体内径中完全就位。 |
![]() |
90. | 将白色愈合基台装在直柄上轻敲基台冠,使其在种植体内径中完全就位。 |
![]() |
91. | 将白色愈合基台装在直柄上轻敲基台冠,使其在种植体内径中完全就位。 |
![]() |
92. | 将白色愈合基台装在直柄上轻敲基台冠,使其在种植体内径中完全就位。 |
![]() |
93. | 黄色热凝塑料就位夹具(在牙冠排列器上制作的)装在直柄的牙冠就位器上,引导就位力沿种植体内径和基台柱的长轴方向传递。 |
![]() |
94. | 黄色热凝塑料就位夹具(在牙冠排列器上制作的)装在直柄的牙冠就位器上,引导就位力沿种植体内径和基台柱的长轴方向传递。 |
![]() |
95. | 黄色热凝塑料就位夹具(在牙冠排列器上制作的)装在直柄的牙冠就位器上,引导就位力沿种植体内径和基台柱的长轴方向传递。 |
![]() |
96. | 将黄色热凝塑料定植就位夹具放到牙冠就位器上。 |
![]() |
97. | 黄色热凝塑料就位夹具(在牙冠排列器上制作的)装在直柄的牙冠就位器上,引导就位力沿种植体内径和基台柱的长轴方向传递。 |
![]() |
98. | 黄色热凝塑料就位夹具(在牙冠排列器上制作的)装在直柄的牙冠就位器上,引导就位力沿种植体内径和基台柱的长轴方向传递。 |
![]() |
99. | 黄色热凝塑料就位夹具(在牙冠排列器上制作的)装在直柄的牙冠就位器上,引导就位力沿种植体内径和基台柱的长轴方向传递。 |
![]() |
100. | 用酒精棉清洁基台柱,清除任何会影响锥形锁柱连接关系的物质。 |
![]() |
101. | 利用透明丙烯酸定位模板确定一体化基台冠的位置。 |
![]() |
102. | 用牙线检查邻间隙,确定其邻接良好,不会影响锥形锁柱的连接关系。 |
![]() |
103. | 黄色热凝塑料就位夹具(在牙冠排列器上制作的)装在直柄的牙冠就位器上,引导就位力沿种植体内径和基台柱的长轴方向传递。 |
![]() |
104. | 用酒精棉清洁基台柱,清除任何会影响锥形锁柱连接关系的物质。 |
![]() |
105. | 戴入一体化基台冠。 |
![]() |
106. | 利用透明丙烯酸定位模板确定一体化基台冠的位置。 |
![]() |
107. | 用牙线检查邻间隙,确定其邻接良好,不会影响锥形锁柱的连接关系。 |
![]() |
108. | 将白色愈合基台装在直柄上轻敲基台冠,使其在种植体内径中完全就位。 |
![]() |
109. | 戴入一体化基台冠。 |
![]() |
110. | 利用透明丙烯酸定位模板确定一体化基台冠的位置。 |
![]() |
111. | 用直柄上的白色愈合基台轻敲透明丙烯酸定位模板,使基台冠就位于种植体内径。 |
![]() |
112. | 戴入一体化基台冠。 |
![]() |
113. | 戴入义齿后的唇颊侧观。 |
![]() |
114. | 嘱病人磨牙,用咬合纸检查在各个极端颌位时的咬合接触。 |
![]() |
115. | 用白色硅树脂抛光轮调磨 |
![]() |
116. | 病人第一次就诊11个月后的X光片显示21颗一体化基台冠和一个三单位的固定桥。 |
![]() |
117. | 戴入基台冠后的微笑。 |
![]() |
118. | 上颌的唇颊侧观。 |
![]() |
119. | 下颌的唇颊侧观。 |
![]() |
120. | 左侧面观。 |
![]() |
121. | 右侧面观。 |
![]() |
122. | 戴入最终修复体后的X光片。 |
![]() |
123. | 戴入最终修复体后的X光片。 |
![]() |
124. | 戴入最终修复体后的X光片。 |
![]() |
125. | 戴入最终修复体后的X光片。 |
![]() |
126. | 戴入最终修复体后的X光片。 |
![]() |
127. | 戴入最终修复体后的X光片。 |
![]() |
128. | 戴入最终修复体后的X光片。 |
![]() |
129. | 戴入最终修复体后的X光片。 |
![]() |
130. | 戴入最终修复体后的X光片。 |
![]() |
131. | 戴入最终修复体后的X光片。 |
![]() |
132. | 戴入最终修复体后的X光片。 |
![]() |
133. | 戴入最终修复体2周后病人的微笑。 |
![]() |
134. | 嘱病人磨牙,用咬合纸检查在各个极端颌位时的咬合接触。 |
![]() |
135. | 红色印记显示病人磨牙时在各个极端颌位时的咬合接触。 |
![]() |
136. | 戴入最终修复体2周后的唇颊侧观。 |
![]() |
137. | 戴入最终修复体2周后的左侧面观。 |
![]() |
138. | 戴入最终修复体2周后的左侧面观。 |
![]() |
139. | 入最终修复体2周后上颌的唇颊侧观。 |
![]() |
140. | 戴入最终修复体2周后上颌的 |
![]() |
141. | 戴入最终修复体2周后下颌的唇颊侧观。 |
![]() |
142. | 戴入最终修复体2周后下颌的 |
![]() |
143. | 术前的X光片。 |
![]() |
144. | 术后的X光片。 |
![]() |
145. | 术前的唇颊侧观。 |
![]() |
146. | 术后的唇颊侧观。 |
![]() |
147. | 术前的微笑。 |
![]() |
148. | 术后的微笑。 |
(注意:此病例分为两部分,这是第二部分。. 点击此处查看第一部分) |
||
|
||