即刻稳定和负重 / Bicon一体化基台冠/ 聚瓷材料附熔金属: 拔牙、植骨、全口23颗两阶段式种植体的植入,即刻稳定和负重,用21颗一体化基台冠和一个三单位的金属树脂固定桥修复(第一部分) |
||||||||||||||
|
||||||||||||||
(注意:此病例分为两部分,这是第一部分。 点击此处查看第二部分.) |
||
|
||
![]() |
1. |
术前的微笑。 |
![]() |
2. |
术前的X光片。 |
![]() |
3. |
病人原有义齿的唇颊侧观。 |
![]() |
4. |
病人原有义齿的右侧面观。 |
![]() |
5. |
病人原有义齿的左侧面观。 |
![]() |
6. |
记录垂直距离。 |
![]() |
7. |
拆除上颌固定桥后的唇颊侧观。 |
![]() |
8. |
拔牙前的初始切口。 |
![]() |
9. |
根管治疗失败的牙齿。 |
![]() |
10. |
用2.0mm的先锋钻在1100RPM的转速下预备牙槽骨,同时冲水降温。 |
![]() |
11. |
用2.0mm的先锋钻在1100RPM的转速下预备牙槽骨,同时冲水降温。 |
![]() |
12. |
用2.0mm的先锋钻在1100RPM的转速下预备牙槽骨,同时冲水降温。 |
![]() |
13. |
用3.0mm的湖蓝色扩孔钻在50RPM的转速下扩大成形,无需冲水。 |
![]() |
14. |
用3.5mm的蓝色扩孔钻在50RPM的转速下扩大成形,无需冲水。 |
![]() |
15. |
将扩孔钻收集到的骨组织放到硅胶碗里。 |
![]() |
16. |
用4.5mm的银色扩孔钻在50RPM的转速下扩大成形,无需冲水。 |
![]() |
17. |
预备牙槽骨的过程中,医生用手指鉴测颊侧骨组织,可见4.5mm的银色手动扩孔钻收集到的骨组织。 |
![]() |
18. |
将同种异体材料放置在拔牙窝内。 |
![]() |
19. |
捏住黑色聚乙烯愈合帽将4.5mm x 8.0mmHA表面的种植体植入。 |
![]() |
20. |
捏住黑色聚乙烯愈合帽将4.5mm x 8.0mmHA表面的种植体植入。 |
![]() |
21. |
带着聚乙烯愈合帽就位的种植体。 |
![]() |
22. |
用种植体植入/取出器将4.5mm x 8.0mmHA表面的种植体植入。 |
![]() |
23. |
将收集到的骨组织堆放在种植体上。 |
![]() |
24. |
将收集到的骨组织堆放在种植体上。 |
![]() |
25. |
第一次手术后的X光片。 |
![]() |
26. |
第一次就诊6周后,用2.0mm的先锋钻在1100RPM的转速下预备牙槽骨,同时冲水降温。 |
![]() |
27. |
用2.5mm的橄榄绿色扩孔钻在50RPM的转速下扩大成形,无需冲水。 |
![]() |
28. |
用2.5mm的橄榄绿色扩孔钻在50RPM的转速下扩大成形,无需冲水。 |
![]() |
29. |
用3.5mm的蓝色扩孔钻在50RPM的转速下扩大成形,无需冲水。 |
![]() |
30. |
用4.0mm的红色扩孔钻在50RPM的转速下扩大成形,无需冲水。 |
![]() |
31. |
将4.5mm的银色手动扩孔钻装在直柄上扩大骨洞。 |
![]() |
32. |
用种植体植入/取出器将4.5mm x 8.0mmHA表面的种植体植入。 |
![]() |
33. |
用种植体植入/取出器将4.5mm x 8.0mmHA表面的种植体植入。 |
![]() |
34. |
用直柄上的种植体就位器轻敲种植体使其进一步就位。 |
![]() |
35. |
第二次手术后的X光片。 |
![]() |
36. |
第一次就诊8周后作的初始切口。 |
![]() |
37. |
用2.5mm的橄榄绿色扩孔钻在50RPM的转速下扩大成形,无需冲水。 |
![]() |
38. |
用3.0mm的湖蓝色扩孔钻在50RPM的转速下扩大成形,无需冲水。 |
![]() |
39. |
用4.5mm的银色扩孔钻在50RPM的转速下扩大成形,无需冲水。 |
![]() |
40. |
捏住黑色聚乙烯愈合帽将5.0mm x 8.0mmHA表面的种植体植入。 |
![]() |
41. |
捏住黑色聚乙烯愈合帽将5.0mm x 8.0mmHA表面的种植体植入。 |
![]() |
42. |
种植体植入缝合后的 |
![]() |
43. |
第三次手术后的X光片。 |
![]() |
44. |
第一次就诊17周后,拆除临时义齿暴露结合的种植体和植入新的种植体之前的唇颊侧观。 |
![]() |
45. |
仅用指压的力量将5.0mm×4.0mm的隐匿肩式基台插入种植体内径。 |
![]() |
46. |
使用指压的力量将5.0mm×6.0mm的隐匿肩式基台插入种植体内径。 |
![]() |
47. |
将短的丙烯酸套筒套在基台上。 |
![]() |
48. |
将真空成型模板就位在丙烯酸套筒上,确定其是否合适。 |
![]() |
49. |
将制作临时义齿的复合树脂材料注射在套筒周围,形成一连接体。 |
![]() |
50. |
初始的连接体。 |
![]() |
51. |
连接体上涂抹粘接剂。 |
![]() |
52. |
光照粘接剂。 |
![]() |
53. |
真空成型模板相应的牙位内注射复合树脂材料。 |
![]() |
54. |
利用真空成型模板将连接体塑造成美观的临时义齿。 |
![]() |
55. |
取下临时义齿抛光。 |
![]() |
56. |
戴入抛光后的临时义齿。 |
![]() |
57. |
第一次就诊18周后的X光片。 |
![]() |
58. |
第一次就诊18周后,已结合的种植体上的临时义齿。 |
![]() |
59. |
拔除根管治疗失败的牙齿。 |
![]() |
60. |
拔除根管治疗失败的牙齿。 |
![]() |
61. |
拔除根管治疗失败的牙齿。 |
![]() |
62. |
用2.0mm的先锋钻在1100RPM的转速下预备牙槽骨,同时冲水降温。 |
![]() |
63. |
平行杆插入经先锋钻预备的牙槽窝内,确定其位置方向。 |
![]() |
64. |
用插入的平行杆确定骨洞的位置合适,并作为下一个牙槽窝预备的参考。 |
![]() |
65. |
用2.5mm的橄榄绿色扩孔钻在50RPM的转速下扩大成形,无需冲水。 |
![]() |
66. |
用3.0mm的湖蓝色扩孔钻在50RPM的转速下扩大成形,无需冲水。 |
![]() |
67. |
用4.0mm的红色扩孔钻在50RPM的转速下扩大成形,无需冲水。 |
![]() |
68. |
用5.0mm的金色扩孔钻在50RPM的转速下扩大成形,无需冲水。 |
![]() |
69. |
堆放到种植体上之前,将收集到的骨组织放在硅胶碗里。 |
![]() |
70. |
用种植体植入/取出器将5.0mm x 8.0mmHA表面的种植体植入。 |
![]() |
71. |
用种植体植入/取出器将5.0mm x 8.0mmHA表面的种植体植入。 |
![]() |
72. |
用种植体植入/取出器将4.5mm x 8.0mmHA表面的种植体植入。 |
![]() |
73. |
用种植体植入/取出器将4.5mm x 8.0mmHA表面的种植体植入。 |
![]() |
74. |
用种植体植入/取出器将3.5mm x 11.0mmHA表面的种植体植入。 |
![]() |
75. |
用2.0mm的先锋钻在1100RPM的转速下预备牙槽骨,同时冲水降温。 |
![]() |
76. |
用2.0mm的先锋钻在1100RPM的转速下预备牙槽骨,同时冲水降温。 |
![]() |
77. |
平行杆插入经先锋钻预备的牙槽窝内,确定其位置方向。 |
![]() |
78. |
用2.5mm的橄榄绿色扩孔钻在50RPM的转速下扩大成形,无需冲水。 |
![]() |
79. |
用3.5mm的蓝色扩孔钻在50RPM的转速下扩大成形,无需冲水。 |
![]() |
80. |
用种植体植入/取出器将3.5mm x 11.0mmHA表面的种植体植入。 |
![]() |
81. |
用种植体植入/取出器将3.5mm x 11.0mmHA表面的种植体植入。 |
![]() |
82. |
带着聚乙烯愈合帽就位的种植体。 |
![]() |
83. |
插入肩台深度尺,确定肩台的高度。 |
![]() |
84. |
使用指压的力量将5.0mm×4.0mm的隐匿肩式基台插入种植体内径。 |
![]() |
85. |
插入肩台深度尺,确定相对于牙龈,肩台的高度应为6.0mm。 |
![]() |
86. |
使用指压的力量将5.0mm×6.0mm的隐匿肩式基台插入种植体内径。 |
![]() |
87. |
插入肩台深度尺,确定肩台的高度。 |
![]() |
88. |
应用两阶段式技术,将剪断的黑色聚乙烯愈合帽插入种植体内径。 |
![]() |
89. |
利用后牙的临时义齿和已经结合的种植体重建咬合。 |
![]() |
90. |
截短长的丙烯酸套筒。 |
![]() |
91. |
被截短的丙烯酸套筒。 |
![]() |
92. |
将短的丙烯酸套筒套在隐肩基台上。 |
![]() |
93. |
光照初始的连接体材料。 |
![]() |
94. |
连接体上涂抹粘接剂。 |
![]() |
95. |
光照连接体。 |
![]() |
96. |
覆盖在变硬的连接体前,将复合树脂材料注射在真空成型模板相应的牙位上。 |
![]() |
97. |
真空成型模板覆盖在连接体上制作临时义齿。 |
![]() |
98. |
取下临时义齿抛光。 |
![]() |
99. |
抛光后的临时义齿。 |
![]() |
100. |
抛光后的临时义齿将会被定期磨改以重建新的咬合关系。 |
![]() |
101. |
第五次手术后的X光片。 |
![]() |
102. |
第一次就诊8个月后,拔除两颗上颌磨牙后的X光片。 |
![]() |
103. |
第一次就诊9个月后临时义齿的唇颊侧观。 |
![]() |
104. |
拆除临时义齿前的唇颊侧观。 |
![]() |
105. |
拆除临时义齿后隐肩基台的唇颊侧观。 |
![]() |
106. |
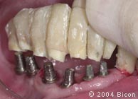
插入印模柱前龈袖口及种植体内径的 |
![]() |
107. |
插入引导杆,检查种植体的稳定性。 |
![]() |
108. |
将2.0mm的红色印模绞刀插在引导杆上,清除任何会影响印模柱完全就位的组织。 |
![]() |
109. |
将2.0mm的红色印模绞刀插在引导杆上,清除任何会影响印模柱完全就位的组织。 |
![]() |
110. |
将3.0mm的绿色印模绞刀插在引导杆上,清除任何会影响印模柱完全就位的组织。 |
![]() |
111. |
将红色的2.0mm塑料印模柱插入2.0mm的种植体内径,准备取种植体水平转移印模。 |
![]() |
112. |
轻敲绿色的3.0mm印模柱使其就位。 |
![]() |
113. |
轻敲红色的2.0mm印模柱使其就位。 |
![]() |
114. |
将印模材料注射在印模柱周围,取种植体水平转移印模。 |
![]() |
115. |
取模后重新戴入临时义齿。 |
![]() |
116. |
取下临时义齿后,隐肩基台的唇颊侧观。 |
![]() |
117. |
卸下隐肩基台。 |
![]() |
118. |
种植体内径和龈袖口。 |
![]() |
119. |
插入引导杆,检查种植体的稳定性。 |
![]() |
120. |
将3.0mm的绿色印模绞刀插在引导杆上,清除任何会影响印模柱完全就位的组织。 |
![]() |
121. |
插入印模柱前龈袖口及种植体内径的 |
![]() |
122. |
将绿色的3.0mm塑料印模柱插入3.0mm的种植体内径,准备取种植体水平转移印模。 |
![]() |
123. |
轻敲绿色的3.0mm印模柱使其就位。 |
![]() |
124. |
将印模材料注射在印模柱周围,取种植体水平转移印模。 |
![]() |
125. |
种植体内径和龈袖口。 |
![]() |
126. |
重新戴入临时义齿,允许更多的时间来重建舒适的咬合关系。 |
![]() |
127. |
取模1周后,为记录咬合关系而拆除右侧的临时义齿前的唇颊侧观。 |
![]() |
128. |
拆除右侧基台前的颊侧观。 |
![]() |
129. |
记录垂直距离。 |
![]() |
130. |
种植体内径和龈袖口。 |
![]() |
131. |
插入绿色的3.0mm塑料印模柱。 |
![]() |
132. |
轻敲绿色的3.0mm印模柱使其就位。 |
![]() |
133. |
种植体内径和龈袖口。 |
![]() |
134. |
插入绿色的3.0mm塑料印模柱。 |
![]() |
135. |
轻敲红色的2.0mm印模柱使其就位。 |
![]() |
136. |
轻敲绿色的3.0mm印模柱使其就位。 |
![]() |
137. |
将红色丙烯酸注射在印模柱上记录咬合关系。 |
![]() |
138. |
印模柱上的红色树脂记录 |
![]() |
139. |
拆除左侧的临时义齿。 |
![]() |
140. |
插入绿色的3.0mm塑料印模柱。 |
![]() |
141. |
插入红色的2.0mm塑料印模柱。 |
![]() |
142. |
轻敲绿色的3.0mm印模柱使其就位。 |
![]() |
143. |
印模柱上的红色丙烯酸记录 |
![]() |
144. |
将红色丙烯酸注射在印模柱上记录咬合关系。 |
![]() |
145. |
将红色丙烯酸注射在印模柱上记录咬合关系。 |
![]() |
146. |
在咬合记录上标记面中线、笑线、和前牙的长度。 |
![]() |
147. |
在咬合记录上标记面中线、笑线、和前牙的长度。 |
![]() |
148. |
在咬合记录上标记面中线、笑线、和前牙的长度。 |
![]() |
149. |
在咬合记录上标记面中线、笑线、和前牙的长度。 |
![]() |
150. |
在咬合记录上标记面中线、笑线、和前牙的长度。 |
![]() |
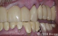
151. |
重行戴入临时义齿。 |
![]() |
152. |
临时义齿的唇颊侧观。 |
(注意:此病例分为两部分,这是第一部分。 点击此处查看第二部分) |
||
|
||