|
Bicon一体化基台冠: 未结合的右尖牙种植体的两阶段式重新植入和修复(第二部分) |
||
(注意:此病例分为两部分,这是第二部分。 点击此处阅读第一部分) |
||
![]() |
1. | 种植体植入24周后的X光片显示已经完成骨结合的种植体。 |
![]() |
2. | 将印模材料挤放在印模柱周围,取种植体水平转移印模。 |
![]() |
3. | 石膏模型上的新完成的尖牙的一体化基台冠和两颗原有的基台冠。 |
![]() |
4. | 新完成的尖牙的一体化基台冠和两颗原有的基台冠。 |
![]() |
5. | 戴入最终修复体前临时义齿的情况。 |
![]() |
6. | 种植体内径及龈袖口。 |
![]() |
7. | 用宽2.8mm的酒精棉签清洁种植体内径。 |
![]() |
8. | 戴入原有的一体化基台冠。 |
![]() |
9. | 将透明树脂定位模板覆盖在牙冠上,帮助一体化基台冠的初步定位。 |
![]() |
10. | 用牙线检查邻间隙,确定其邻接良好,不会影响锥形锁柱的连接关系。 |
![]() |
11. | 在牙冠排列装置上定制的黄色热凝树脂就位夹具安装在直柄牙冠就位器上,帮助使修复体就位力沿种植体内径及基台柱的长轴传递。 |
![]() |
12. | 用酒精棉球清洁基台柱,清除任何会影响锥形锁柱关系的衔接的物质。 |
![]() |
13. | 使用透明丙烯酸定位模板帮助新完成的尖牙一体化基台冠的初步定位。 |
![]() |
14. | 用牙线检查邻间隙,确定其邻接良好,不会影响锥形锁柱的连接关系。 |
![]() |
15. | 调磨邻面接触区,过紧的邻面接触会影响锥形锁柱关系的衔接,还可能会导致日后一体化基台冠的松动。 |
![]() |
16. | 用宽2.8mm的酒精棉签清种植体内径。 |
![]() |
17. | 戴入原有的一体化基台冠。 |
![]() |
18. | 用直柄上的白色愈合基台轻敲一体化基台冠使其初步就位。 |
![]() |
19. | 戴入新完成的尖牙的一体化基台冠。 |
![]() |
20. | 使用透明丙烯酸定位模板帮助一体化基台冠的初步定位。 |
![]() |
21. | 用牙线检查邻间隙,确定其邻接良好,不会影响锥形锁柱的连接关系。 |
![]() |
22. | 用牙线检查邻间隙,确定其邻接良好,不会影响锥形锁柱的连接关系。 |
![]() |
23. | 在牙冠排列装置上定制的黄色热凝树脂就位夹具安装在直柄牙冠就位器上,帮助使修复体就位力沿种植体内径及基台柱的长轴传递。 |
![]() |
24. | 戴入一体化基台冠后的X光片。 |
![]() |
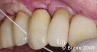
25. | 刚就位的三颗一体化基台冠,及其他7个月前就戴入的基台冠的颊侧观。 |
![]() |
26. | 就位的一体化基台冠的近观。 |
![]() |
27. | 嘱病人磨牙,在各个极端 位时咬合,蓝色印记提示腭侧有咬合高点。 |
![]() |
28. | 戴入一体化基台冠后的X光片。 |
![]() |
29. | 上颌全牙弓的一体化基台冠。 |
(注意:此病例分为两部分,这是第二部分。点击此处阅读第一部分) |
||
|
||