|
即刻稳定和负重 / Bicon一体化基台冠: 两颗上颌尖牙的拔除,植入三颗即刻负重的种植体,用一体化基台冠修复十二颗上颌种植体,取下右尖牙种植体并进行两阶段式的重新植入(第一部分) |
||
(注意:此病例分为两部分,这是第一部分。 点击此处查看第二部分) |
||
|
||
![]() |
1. | 术前的X光片。 |
![]() |
2. | 术前的X光片显示三颗右下颌后牙种植体。 |
![]() |
3. | X光片示:三颗后牙种植体的临时冠。 |
![]() |
4. | 术前的X光片显示另外三颗前牙种植体。 |
![]() |
5. | 术前手术区。 |
![]() |
6. | 用骨膜剥离器开始拔牙。 |
![]() |
7. | 拔除尖牙。 |
![]() |
8. | 在牙槽嵴顶作切口暴露和植入种植体。 |
![]() |
9. | 用2.0mm的先锋钻在1100RPM的转速下预备牙槽骨,同时外部冲水降温。 |
![]() |
10. | 将引导杆插入已经结合的种植体上。 |
![]() |
11. | 扩大牙槽窝,同时医生要用手指鉴测颊侧骨板。 |
![]() |
12. | 用刮匙刮除残留的骨组织,同时检查牙槽窝五个骨壁的完整性。 |
![]() |
13. | 直驱动器上的手动扩孔钻的刃槽里收集到的骨组织。 |
![]() |
14. | 用4.5mm的扩孔钻在50RPM的转速下扩大成形,无需冲水。 |
![]() |
15. | 用5.0mm的扩孔钻在50RPM的转速下扩大成形,无需冲水。 |
![]() |
16. | 用种植体植入器将6.5mm x 8.0mmHA涂层的种植体植入牙槽窝内。 |
![]() |
17. | 用种植体植入器将6.5mm x 8.0mmHA涂层的种植体植入牙槽窝内。 |
![]() |
18. | 种植体植入器将6.5mm x 8.0mmHA涂层的种植体植入牙槽窝内。 |
![]() |
19. | 为新暴露的和新植入的前牙种植体制作临时修复体前的X光片。 |
![]() |
20. | 与临时修复体结合前,将丙烯酸套筒吸附在肩式基台上。 |
![]() |
21. | 与临时修复体结合前,将丙烯酸套筒吸附在肩式基台上。 |
![]() |
22. | 与临时修复体结合前,将丙烯酸套筒吸附在肩式基台上。 |
![]() |
23. | 与临时修复体结合前,将丙烯酸套筒吸附在肩式基台上。 |
![]() |
24. | 与临时修复体结合前,将丙烯酸套筒吸附在肩式基台上。 |
![]() |
25. | 重衬的义齿戴入丙烯酸套筒前。 |
![]() |
26. | 戴在丙烯酸套筒上的经重衬的义齿。 |
![]() |
27. | 临时义齿的唇颊侧观,其左侧有一悬臂。 |
![]() |
28. | 取咬合记录和印模之前,病人的微笑。 |
![]() |
29. | 将绿色的3.0mm印模柱插入种植体内径,用于记录 |
![]() |
30. | 将绿色的3.0mm印模柱插入种植体内径,用于记录 |
![]() |
31. | 将绿色的3.0mm印模柱插入种植体内径,用于记录 |
![]() |
32. | 当病人右侧临时义齿咬合接触时,在前牙区和左侧后牙区记录 |
![]() |
33. | 当病人右侧临时义齿咬合接触时,在前牙区和左侧后牙区记录 |
![]() |
34. | 将绿色的3.0mm印模柱敲入种植体内径,用于记录 |
![]() |
35. | 用印模柱上的红色丙烯酸记录 |
![]() |
36. | 在咬合记录的红色树脂上标记面中线、唇线和前牙的长度。 |
![]() |
37. | 在咬合记录的红色树脂上标记面中线、唇线和前牙的长度。 |
![]() |
38. | 在咬合记录的红色树脂上标记面中线、唇线和前牙的长度。 |
![]() |
39. | 从种植体内径上取下咬合记录。 |
![]() |
40. | 从左后牙暴露的两阶段式种植体内径中取出黑色聚乙烯愈合帽。 |
![]() |
41. | 从左后牙暴露的两阶段式种植体内径中取出黑色聚乙烯愈合帽。 |
![]() |
42. | 将5.0mm的袖口绞刀插在引导杆上,用于预备龈沟。 |
![]() |
43. | 将5.0mm的袖口绞刀插在引导杆上,用于预备龈沟。 |
![]() |
44. | 将绿色的3.0mm印模柱插入种植体内径。 |
![]() |
45. | 将5.0mm的袖口绞刀插在引导杆上,用于预备龈沟。 |
![]() |
46. | 轻敲3.0mm的印模柱使其就位。 |
![]() |
47. | 在就位的印模柱周围注射印模材料。 |
![]() |
48. | 在黑色背景下比色,并数码成像,以便于制作美观的一体化基台冠。 |
![]() |
49. | 将复合树脂材料注射在丙烯酸套筒周围形成临时义齿。 |
![]() |
50. | 真空成型模板内的树脂材料在丙烯酸套筒周围形成临时义齿。 |
![]() |
51. | 戴上临时义齿后病人的微笑。 |
![]() |
52. | 石膏模型上的一体化基台冠。 |
![]() |
53. | 石膏模型上的一体化基台冠。 |
![]() |
54. | 石膏模型上的一体化基台冠及其定位模板。 |
![]() |
55. | 十二颗一体化基台冠的镜观。 |
![]() |
56. | 戴入十二颗一体化基台冠前临时义齿的唇颊侧观。 |
![]() |
57. | 种植体内径和龈袖口。 |
![]() |
58. | 戴入一体化基台冠。 |
![]() |
59. | 戴入一体化基台冠。 |
![]() |
60. | 用牙线检查邻间隙,确定其邻面接触良好,不会影响锥形锁柱的连接关系。 |
![]() |
61. | 黄色热凝塑料定位模板帮助一体化基台冠的定位。 |
![]() |
62. | 用咬合纸检查邻间隙。 |
![]() |
63. | 调磨邻面接触区。邻间隙过紧会影响锥形锁柱的连接关系的,还可能会导致日后一体化基台冠的松动。 |
![]() |
64. | 戴入一体化基台冠。 |
![]() |
65. | 用牙线检查邻间隙,确定其邻面接触良好,不会影响锥形锁柱的连接关系。 |
![]() |
66. | 用咬合纸检查邻间隙。 |
![]() |
67. | 调磨邻面接触区。邻间隙过紧会影响锥形锁柱的连接关系的,还可能会导致日后一体化基台冠的松动。 |
![]() |
68. | 作减张切口以便于一体化基台冠的就位。 |
![]() |
69. | 黄色热凝塑料定位模板帮助一体化基台冠的定位。 |
![]() |
70. | 戴入一体化基台冠。 |
![]() |
71. | 将5.0mm的袖口绞刀套在引导杆上,插入种植体内径,清除任何会影响一体化基台冠就位的组织。 |
![]() |
72. | 取出袖口绞刀可见附着的组织。 |
![]() |
73. | 用牙线检查邻间隙,确定其邻面接触良好,不会影响锥形锁柱的连接关系。 |
![]() |
74. | 轻敲黄色热凝塑料定位模板使一体化基台冠初步达到锥形锁柱衔接。 |
![]() |
75. | 利用牙冠就位器上的定制的黄色热凝塑料夹具使就位力量沿种植体内径和基台柱的长轴传递。 |
![]() |
76. | 戴入每一颗一体化基台冠后蓝色印记显示 |
![]() |
77. | 作减张切口以便于一体化基台冠的就位。 |
![]() |
78. | 戴入一体化基台冠。 |
![]() |
79. | 用酒精清洁基台柱,清除任何会影响锥形锁柱连接关系的微小碎屑。 |
![]() |
80. | 定制的黄色热凝塑料夹具上的一体化基台冠显示出夹具是如何引导就位力沿基台柱的长轴传递的。 |
![]() |
81. | 利用牙冠就位器上的定制的黄色热凝塑料夹具使就位力量沿种植体内径和基台柱的长轴传递。 |
![]() |
82. | 将5.0mm的袖口绞刀套在引导杆上,插入种植体内径,清除任何会影响一体化基台冠就位的组织。 |
![]() |
83. | 取出袖口绞刀可见附着的组织。 |
![]() |
84. | 戴入一体化基台冠。 |
![]() |
85. | 利用牙冠就位器上的定制的黄色热凝塑料夹具使就位力量沿种植体内径和基台柱的长轴传递。 |
![]() |
86. | 六颗最终就位的一体化基台冠的近观。 |
![]() |
87. | 戴入一体化基台冠。 |
![]() |
88. | 将5.0mm的袖口绞刀套在引导杆上,插入种植体内径,清除任何会影响一体化基台冠就位的组织。 |
![]() |
89. | 利用牙冠就位器上的定制的黄色热凝塑料夹具使就位力量沿种植体内径和基台柱的长轴传递。 |
![]() |
90. | 作减张切口以便于一体化基台冠的就位。 |
![]() |
91. | 利用牙冠就位器上的定制的黄色热凝塑料夹具使就位力量沿种植体内径和基台柱的长轴传递。 |
![]() |
92. | 戴入一体化基台冠。 |
![]() |
93. | 将5.0mm的袖口绞刀套在引导杆上,插入种植体内径,清除任何会影响一体化基台冠就位的组织。 |
![]() |
94. | 取出袖口绞刀可见附着的组织。 |
![]() |
95. | 戴入一体化基台冠。 |
![]() |
96. | 戴入一体化基台冠。 |
![]() |
97. | 用直柄上的塑料临时基台轻敲使一体化基台冠沿基台柱和种植体内径的长轴达到锥形锁柱的衔接关系。 |
![]() |
98. | 戴入一体化基台冠。 |
![]() |
99. | 十二颗一体化基台冠最终就位后病人的微笑。 |
![]() |
100. | 一体化基台冠最终就位后的近观。 |
![]() |
101. | 一体化基台冠最终就位后的近观。 |
![]() |
102. | 一体化基台冠最终就位后的近观。 |
![]() |
103. | 一体化基台冠最终就位后的 面观。 |
![]() |
104. | 戴入一体化基台冠后的X光片。 |
![]() |
105. | 戴入一体化基台冠后的X光片。 |
![]() |
106. | 戴入一体化基台冠后的X光片。 |
![]() |
107. | 戴入一体化基台冠后的X光片。 |
![]() |
108. | 戴入一体化基台冠后的X光片。 |
![]() |
109. | 戴入一体化基台冠后的X光片。 |
![]() |
110. | 戴入一体化基台冠后的X光片。 |
![]() |
111. | 戴入一体化基台冠后的X光片。 |
![]() |
112. | 取出右尖牙种植体前,把右侧切牙的一体化基台冠取下。 |
![]() |
113. | 右尖牙戴入一体化基台冠3天后,因为其仍有动度,可见骨结合不成功,所以把种植体取出。 |
![]() |
114. | 深度量尺插入取出种植体的牙槽窝内。 |
![]() |
115. | 用宽3.5mm的扩孔钻在50RPM的转速下扩大成形,无需冲水。 |
![]() |
116. | 用聚乙烯愈合帽将6.0mm x 5.7mmHA表面的种植体植入牙槽窝内。 |
![]() |
117. | 将收集到的骨组织填充在种植体及剪断的聚乙烯愈合帽周围。 |
![]() |
118. | 缝合关闭两阶段式手术植入的种植体。 |
![]() |
119. | 光照临时义齿。 |
![]() |
120. | 种植体植入6周后的X光片显示已经结合的种植体。 |
![]() |
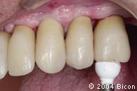
120. | 术后6周后的唇颊侧观。 |
(注意:此病例分为两部分,这是第一部分。 点击此处查看第二部分) |
||
|
||