卓越的牙龈美学
第1页 | 第2页 | 第3页 | 第4页 | 第5页 | 第6页 | 第7页 | 第8页 | 第9页 | 第10页 | 第11页 | 第12页
第13页 | 第14页 | 第15页 | 第16页 | 第17页 | 第18页
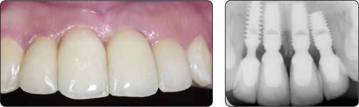
使用Bicon系统很容易获得牙龈美学的修复体-特别是Bicon 一体化基台冠(IAC)的出现。您再也不用因为黑色的龈染线道歉了。




第1页 | 第2页 | 第3页 | 第4页 | 第5页 | 第6页 | 第7页 | 第8页 | 第9页 | 第10页 | 第11页 | 第12页
第13页 | 第14页 | 第15页 | 第16页 | 第17页 | 第18页