|
即刻稳定和负重 / Bicon一体化基台冠:
右上颌中切牙的拔除、植骨、放置Bicon可吸收胶原膜、植入即刻负重的种植体,并用一体化基台冠修复 |
||
![]() |
1. | 术前病人的微笑。 |
![]() |
2. | 术前的情况:上颌右中切牙的牙龈有一瘘管。 |
![]() |
3. | 术前的X光片。 |
![]() |
4. | 拔除的牙齿。 |
![]() |
5. | 拔牙后的X光片。 |
![]() |
6. | 用刮匙小心地将拔牙创里粗糙的组织及残留的软组织去除。 |
![]() |
7. | 在拔牙创的颊侧两侧作垂直切口深达骨皮质,并沿至骨缺损区。 |
![]() |
8. | 作近中和远中垂直切口,翻开全厚瓣,为可吸收膜的放置提供一完整的骨边缘。如果可以的话,切口应避免损伤龈乳头。 |
![]() |
9. | 在颊侧皮质骨板可见一大范围的骨缺损区。 |
![]() |
10. | 骨缺损区用同种异体骨填充,其宽度与颊侧皮质骨板的一致,高度要与周围骨一致。骨粉可以是牛的、猪的、人的或者是纯合成的。 |
![]() |
11. | 裁剪Bicon可吸收胶原膜,使其覆盖植骨区的近中、远中和根方的边界。在腭侧,可吸收膜被挤进软组织下与腭侧骨组织直接接触。 |
![]() |
12. | 通常用骨膜剥离器翻开腭侧的组织,而不需在腭侧作额外的垂直切口。但是,如果将可吸收膜挤进组织下出现困难时,就可能要作近远中的小切口。。 |
![]() |
13. | 缝合无张力的龈瓣。为了达到初步的复位,应将颊侧龈瓣向根方延展,分离全厚瓣,向冠方拉伸。 |
![]() |
14. | 为了粘结临时修复体,酸蚀邻牙。 |
![]() |
15. | 涂抹粘结剂。 |
![]() |
16. | 涂抹粘结剂。 |
![]() |
17. | 光照粘结剂。 |
![]() |
18. | 在两邻牙之间用聚瓷材料DiamondCrown制作一连接体。 |
![]() |
19. | 在两邻牙之间用聚瓷材料DiamondCrown制作一连接体。 |
![]() |
20. | 光照连接体。 |
![]() |
21. | 在真空成型模板相应的牙位注入另外的聚瓷材料,并放置在变硬的连接体上,从而形成美观的外形。 |
![]() |
22. | 光照模板里的材料。 |
![]() |
23. | 添加材料,用于形成美观的外形。 |
![]() |
24. | 光照临时义齿。 |
![]() |
25. | 将临时义齿塑形。 |
![]() |
26. | 抛光临时义齿。 |
![]() |
27. | 抛光临时义齿。 |
![]() |
28. | 制作完成的临时义齿。 |
![]() |
29. | 术后六个月,植入种植体前将临时义齿拆除后植骨区的情况。 |
![]() |
30. | 植入的4.5 mm x 8.0mmHA表面的种植体和黑色聚乙烯愈合帽。 |
![]() |
31. | 取下愈合帽后的种植体内径。 |
![]() |
32. | 将一个3.0mm柱的5.0 mm x 6.0mm隐肩基台插入种植体。 |
![]() |
33. | 仅以指压就位的基台。 |
![]() |
34. | 备洞时收集到的骨组织。 |
![]() |
35. | 就位的基台,周围有移植的自体骨覆盖。 |
![]() |
36. | 基台指压就位后拍摄的X光片。 |
![]() |
37. | 为了粘结临时冠,酸蚀邻牙。 |
![]() |
38. | 涂抹粘结剂的底漆。 |
![]() |
39. | 涂抹粘结剂。 |
![]() |
40. | 光照粘结剂。 |
![]() |
41. | 在丙烯酸套筒周围添加聚瓷材料DiamondCrown,形成一连接体。 |
![]() |
42. | 光照聚瓷材料。 |
![]() |
43. | 就位的临时义齿。 |
![]() |
44. | 植入种植体三个月后,临时义齿的情况。 |
![]() |
45. | 拆除临时义齿后可见临时基台。 |
![]() |
46. | 拆除临时基台及义齿后的种植体内径。 |
![]() |
47. | 在黑色背景下比色并数码成像,以便制作美观的一体化基台冠。 |
![]() |
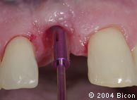
48. | 引导杆插入种植体内径,检查种植体的骨结合情况。 |
![]() |
49. | 将绿色的3.0mm金属印模柱插入种植体内径。 |
![]() |
50. | 轻敲几次,使印模柱完全就位于种植体内径。 |
![]() |
51. | 将印模材料注射在金属印模柱的周围,取种植体水平转移印模。 |
![]() |
52. | 无需粘接的一体化基台冠的镜观。 |
![]() |
53. | 拆除临时冠后的隐肩基台。 |
![]() |
54. | 种植体内径及软组织袖口。 |
![]() |
55. | 戴入一体化基台冠前病人的微笑。 |
![]() |
56. | 戴入一体化基台冠。如果龈沟组织太紧,可在其近远中邻接面处作减张切口,但不要伤到龈乳头。 |
![]() |
57. | 用透明丙烯酸定位模板帮助一体化基台冠的定位。 |
![]() |
58. | X光片显示种植体和一体化基台冠。 |
![]() |
59. | 戴入一体化基台冠后的情况。 |
![]() |
60. | 戴入基台冠后病人的微笑。 |
|
||