|
即刻稳定和负重 / 聚瓷材料熔附金属: 两颗种植体的即刻修复,并用金属聚瓷冠修复,以及用全瓷冠修复两颗天然牙
|
||
![]() |
1. | 术前的微笑。 |
![]() |
2. | 种植术前的义齿。 |
![]() |
3. | 术前的X光片。 |
![]() |
4. | 术前的手术区。 |
![]() |
5. | 在蓝色丙烯酸外科模板的帮助下,用直径为2.0mm的先锋钻在1100RPM的转速下预备牙槽骨,同时冲水降温。 |
![]() |
6. | 用直径为3.5mm的扩孔钻在50RPM的转速下扩大成形,无需冲水。 |
![]() |
7. | 旋转手动扩孔钻扩大成形。 |
![]() |
8. | 用直柄上的种植体就位器将一个5.0mm x 8.0mmHA表面的种植体植入。 |
![]() |
9. | 用直柄上的种植体就位器将一个5.0mm x 8.0mmHA表面的种植体植入。 |
![]() |
10. | 就位的种植体内径。 |
![]() |
11. | 截短丙烯酸套筒以获得足够的咬合间隙。 |
![]() |
12. | 被截短的丙烯酸套筒套在4.0mm x1.5mm的肩式基台上,并一起插入种植体。 |
![]() |
13. | 被截短的丙烯酸套筒套在4.0mm x1.5mm的肩式基台上,并一起插入种植体。 |
![]() |
14. | 试戴真空成型模板,确定调改的套筒是否合适。 |
![]() |
15. | 将制作临时义齿的材料注射在真空成型模板内。 |
![]() |
16. | 将临时义齿材料注射在丙烯酸套筒上制作临时修复体。 |
![]() |
17. | 将真空成型模板覆盖在丙烯酸套筒和预备过的侧切牙上。 |
![]() |
18. | 取下临时义齿抛光。 |
![]() |
19. | 光照添加在临时义齿上的复合材料。 |
![]() |
20. | 在侧切牙位内涂抹粘结剂。 |
![]() |
21. | 就位的临时义齿的颊侧观。 |
![]() |
22. | 病人的微笑。 |
![]() |
23. | 种植体植入9周后的X光片显示骨结合的种植体及其临时义齿。 |
![]() |
24. | 种植体植入14周后,取下临时义齿及基台前。 |
![]() |
25. | 种植体内径及龈袖口。 |
![]() |
26. | 将绿色的3.0mm金属印模柱插入内径3.0mm的种植体内径。 |
![]() |
27. | 将绿色的3.0mm金属印模柱插入内径3.0mm的种植体内径。 |
![]() |
28. | 轻敲3.0mm的金属印模柱使其就位。 |
![]() |
29. | 将印模材料注射在印模柱周围,取种植体水平转移印模。 |
![]() |
30. | 石膏模型上的研磨基台。 |
![]() |
31. | 研磨基台上的铸件。 |
![]() |
32. | 金属内冠的镜观。 |
![]() |
33. | 戴入临时义齿。 |
![]() |
34. | 种植体内径及龈袖口。 |
![]() |
35. | 研磨基台初步就位在种植体上。 |
![]() |
36. | 基台上戴入金属内冠,确定其位置方向。 |
![]() |
37. | 研磨基台最终就位。 |
![]() |
38. | 基台上的分开的金属内冠。 |
![]() |
39. | 用红色丙烯酸将两金属内冠连接。 |
![]() |
40. | 将印模材料注射在预备的牙齿及连接的金属内冠周围。 |
![]() |
41. | 取全牙弓的印模。 |
![]() |
42. | 随印模取出的金属内冠。 |
![]() |
43. | 在黑色背景下比色并数码成像,以便于制作美观的义齿。 |
![]() |
44. | 石膏模型上的修复体。 |
![]() |
45. | 两颗金属聚瓷冠及两颗全瓷冠的镜观。 |
![]() |
46. | 两颗金属聚瓷冠及两颗全瓷冠的镜观。 |
![]() |
47. | 拆除临时义齿前。 |
![]() |
48. | 研磨基台及预备的牙齿的唇侧观。 |
![]() |
49. | 粘结好的左侧切牙的全瓷冠。 |
![]() |
50. | 在金属聚瓷冠里注射少量粘结剂。 |
![]() |
51. | 两颗粘结好的牙冠。 |
![]() |
52. | 四颗粘结好的牙冠。 |
![]() |
53. | 戴入最终修复体后的X光片。 |
![]() |
54. | 戴入最终修复体2周后的唇侧观。 |
![]() |
55. | 戴入最终修复体2周后的左侧面观。 |
![]() |
56. | 戴入最终修复体2周后的右侧面观。 |
![]() |
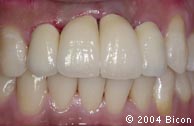
57. | 戴入最终修复体10周后的唇侧观。 |
![]() |
58. | 病人的微笑。 |
|
||