|
即刻稳定和负重 / Bicon一体化基台冠: 四颗上颌切牙的拔除,即刻种植、即刻负重、移植非细胞性上皮,并用一体化基台冠修复
|
||
|
||
![]() |
1. | 术前的微笑。 |
![]() |
2. | 术前微笑的右侧面观。 |
![]() |
3. | 术前微笑的左侧面观。 |
![]() |
4. | 术前的唇侧观。 |
![]() |
5. | 术前的X光片。 |
![]() |
6. | 术前的X光片。 |
![]() |
7. | 拔除根管治疗失败的牙齿。 |
![]() |
8. | 用2.0mm的先锋钻在1100RPM的转速下预备牙槽骨,同时要冲水降温。 |
![]() |
9. | 用3.5mm的电动扩孔钻在50RPM的转速下扩大成形,无需冲水。 |
![]() |
10. | 旋转手动扩孔钻扩大成形。 |
![]() |
11. | 扩孔钻刃槽内收集到的骨组织。 |
![]() |
12. | 用种植体插入/取出器将一个5.0mm x 8.0mmHA表面的种植体植入。 |
![]() |
13. | 黑色聚乙烯愈合帽就位在种植体内径后,酸蚀邻牙用以粘接临时义齿。 |
![]() |
14. | 涂抹粘接剂。 |
![]() |
15. | 光照粘接剂。 |
![]() |
16. | 从种植体内径中取出黑色聚乙烯愈合帽。 |
![]() |
17. | 插入肩台深度量尺,为肩式基台确定合适的肩台高度。 |
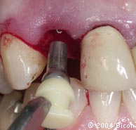
![]() |
18. | 用指压将一个4.0mm×3.5mm的隐匿肩式基台插入种植体内径。基台上套有短的丙烯酸套筒。 |
![]() |
19. | 将聚瓷材料DiamondCrown放在丙烯酸套筒周围,和邻牙形成连接体。 |
![]() |
20. | 光照套筒上的聚瓷材料。 |
![]() |
21. | 将临时义齿粘接到邻牙上。 |
![]() |
22. | 病人第一次就诊结束时拍的X光片显示即刻种植及负重的种植体。 |
![]() |
23. | 右上颌侧切牙种植体植入3个月后的唇侧观。 |
![]() |
24. | 术前的X光片。 |
![]() |
25. | 拔除右中切牙松动的桩核修复体。 |
![]() |
26. | 拔除根管治疗失败的左中切牙。 |
![]() |
27. | 拔除左侧切牙。 |
![]() |
28. | 拔除右中切牙的残根。 |
![]() |
29. | 用刮匙刮除残留的软组织。 |
![]() |
30. | 用探针评估术区的情况。 |
![]() |
31. | 深度尺测量拔牙窝的深度。 |
![]() |
32. | 用2.0mm的先锋钻在1100RPM的转速下预备牙槽骨,同时冲水降温。 |
![]() |
33. | 用2.5mm的扩孔钻在1100RPM的转速下预备牙槽骨,同时冲水降温。 |
![]() |
34. | 用2.5mm的扩孔钻在1100RPM的转速下预备牙槽骨,同时冲水降温。 |
![]() |
35. | 用3.5mm的扩孔钻在50RPM的转速下扩大成形,无需冲水。 |
![]() |
36. | 用3.5mm的扩孔钻在50RPM的转速下扩大成形,无需冲水。 |
![]() |
37. | 用4.0mm的扩孔钻在50RPM的转速下扩大成形,无需冲水。 |
![]() |
38. | 扩孔钻收集到的骨组织。 |
![]() |
39. | 刮匙刮除残留的骨组织,同时确定牙槽窝的五个骨壁的完整性。 |
![]() |
40. | 用种植体插入/取出器将一个5.0mm x 8.0mmHA表面的种植体植入。 |
![]() |
41. | 用种植体插入/取出器将一个5.0mm x 8.0mmHA表面的种植体植入。 |
![]() |
42. | 用种植体插入/取出器将一个5.0mm x 8.0mmHA表面的种植体植入。 |
![]() |
43. | 就位的种植体内径的 |
![]() |
44. | 用直柄上的种植体就位器将种植体最终就位。 |
![]() |
45. | 移植非细胞性的皮瓣掩盖牙龈组织透出金属的颜色前,用牙周探针探诊。 |
![]() |
46. | 移植非细胞性的皮瓣掩盖牙龈组织透出金属的颜色前,作垂直切口。 |
![]() |
47. | 翻开唇侧的龈瓣后发现种植体的冠部无骨组织覆盖。 |
![]() |
48. | 插入肩台深度量尺,确定肩台的合适高度。 |
![]() |
49. | 插入肩台深度量尺,确定肩台的合适高度。 |
![]() |
50. | 仅用指压的力量将一个4.0mm×3.5mm的隐匿肩式基台插入种植体内径。 |
![]() |
51. | 仅用指压的力量将一个5.0mm×4.0mm的隐匿肩式基台插入种植体内径。 |
![]() |
52. | 仅用指压的力量将一个5.0mm×4.0mm的隐匿肩式基台插入种植体内径。 |
![]() |
53. | 从盐水中取出非细胞性上皮时将其透明膜去除。 |
![]() |
54. | 裁剪非细胞性的皮瓣,使其大小适合覆盖在种植体上,从而提供更好的结缔组织区域,掩盖透出的金属颜色。 |
![]() |
55. | 将非细胞性的皮瓣转移到手术区。 |
![]() |
56. | 将非细胞性的皮瓣放在先前发生骨结合的种植体上。 |
![]() |
57. | 取下临时冠制作四单位的临时固定桥前,将非细胞性的皮瓣缝合就位。 |
![]() |
58. | 指压插入种植体内径就位的四颗肩式基台。 |
![]() |
59. | 长的丙烯酸套筒套在隐匿肩式基台上。 |
![]() |
60. | 短的丙烯酸套筒套在隐匿肩式基台上。 |
![]() |
61. | 磨改丙烯酸套筒,为牙间乳头提供足够的生长空间。 |
![]() |
62. | 酸蚀邻牙,用于粘接临时义齿。 |
![]() |
63. | 涂抹粘接剂。 |
![]() |
64. | 光照粘接剂。 |
![]() |
65. | 将聚瓷材料DiamondCrown放置在丙烯酸套筒周围形成连接体。 |
![]() |
66. | 光照套筒周围的聚瓷材料。 |
![]() |
67. | 将真空成型模板覆盖在套筒上,光照里面的聚瓷材料。 |
![]() |
68. | 在真空成型模板的牙位打孔,便于空气及聚瓷材料的排溢。 |
![]() |
69. | 将聚瓷材料注射在真空成型模板的唇侧。 |
![]() |
70. | 在连接体上添加更多的聚瓷材料以便塑形。 |
![]() |
71. | 光照临时义齿。 |
![]() |
72. | 抛光前的临时义齿。 |
![]() |
73. | 临时义齿塑形。 |
![]() |
74. | 临时义齿上涂抹粘接剂。 |
![]() |
75. | 临时义齿上涂抹粘接剂。 |
![]() |
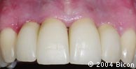
76. | 临时义齿上添加材料。 |
![]() |
77. | 光照添加的材料。 |
![]() |
78. | 戴入临时义齿。 |
![]() |
79. | 用软的白色硅树脂轮抛光。 |
![]() |
80. | 就位后的临时义齿。 |
![]() |
81. | 病人第一次就诊结束时的X光片显示即刻种植及即刻负重的种植体。 |
![]() |
82. | 病人第二次就诊时的微笑。 |
![]() |
83. | 术后6天的唇侧观。 |
![]() |
84. | 术后6天的唇侧观。 |
![]() |
85. | 术后2周的唇侧观。 |
![]() |
86. | 术后1个月的唇侧观。 |
![]() |
87. | 戴入临时义齿10周后,取种植体水平转移印模前的唇侧观。 |
![]() |
88. | 指压就位的四颗肩式基台。 |
![]() |
89. | 取印模前清除残留在基台上的粘接材料。 |
![]() |
90. | 取下临时义齿及隐肩基台后,种植体内径的 |
![]() |
91. | 绿色的3.0mm塑料印模柱插入3.0mm的种植体内径。 |
![]() |
92. | 绿色的3.0mm塑料印模柱插入3.0mm的种植体内径。 |
![]() |
93. | 将印模材料注射在印模柱周围,取种植体水平转移印模。 |
![]() |
94. | 轻敲钳子柄取下印模柱。 |
![]() |
95. | 在黑色背景下比色并数码成像,以便制作美观的一体化基台冠。 |
![]() |
96. | 重新戴入临时义齿。 |
![]() |
97. | 石膏模型上的一体化基台冠和丙烯酸定位模板。 |
![]() |
98. | 石膏模型上的一体化基台冠。 |
![]() |
99. | 石膏模型上一体化基台冠上和黄色热凝塑料就位夹具,帮助就位力沿种植体内径及基台柱的长轴传递。 |
![]() |
100. | 一体化基台冠的镜观。 |
![]() |
101. | 戴入一体化基台冠前,临时义齿的唇侧观。注意唇侧牙龈的瘘管,很可能是由松动的基台连接引起的。 |
![]() |
102. | 种植体内径及龈袖口。 |
![]() |
103. | 用chlorhexadine灌入种植体内径及龈沟内。 |
![]() |
104. | 切除瘘管。 |
![]() |
105. | 植入非细胞性的皮瓣3个月后。 |
![]() |
106. | 种植体内径及龈袖口。 |
![]() |
107. | 在腭侧作减张切口以便于一体化基台冠的就位。 |
![]() |
108. | 戴入一体化基台冠。 |
![]() |
109. | 利用透明丙烯酸定位模板让一体化基台冠初步定位。 |
![]() |
110. | 用牙线检查邻间隙,确定其邻接良好,不会影响锥形锁柱的连接关系。 |
![]() |
111. | 用装在牙冠就位器上的定制的黄色热凝塑料就位夹具引导就位力沿种植体内径及基台柱的长轴传递。 |
![]() |
112. | 戴入一体化基台冠。 |
![]() |
113. | 用牙线检查邻间隙,确定其邻接良好,不会影响锥形锁柱的连接关系。 |
![]() |
114. | 用抛光纸调磨邻面,防止因邻间隙过紧而影响锥形锁柱的连接。 |
![]() |
115. | 轻敲透明丙烯酸定位模板使基台冠初步达到锥形锁柱的连接关系。 |
![]() |
116. | 用装在牙冠就位器上的定制的黄色热凝塑料就位夹具引导就位力沿种植体内径及基台柱的长轴传递。 |
![]() |
117. | 作减张切口以便于一体化基台冠的就位。 |
![]() |
118. | 戴入一体化基台冠。 |
![]() |
119. | 用牙线检查邻间隙,确定其邻接良好,不会影响锥形锁柱的连接关系。 |
![]() |
120. | 用树脂抛光轮调磨牙冠的邻面接触区,防止因邻间隙过紧而影响锥形锁柱的连接。 |
![]() |
121. | 轻敲透明丙烯酸定位模板使基台冠初步达到锥形锁柱的连接关系。 |
![]() |
122. | 用装在牙冠就位器上的定制的黄色热凝塑料就位夹具引导就位力沿种植体内径及基台柱的长轴传递。 |
![]() |
123. | 左中切牙的蓝色印记显示有咬合高点。 |
![]() |
124. | 树脂抛光轮调磨腭侧的咬合。 |
![]() |
125. | 戴入一体化基台冠。 |
![]() |
126. | 用树脂抛光轮调磨牙冠的邻面接触区,防止因邻间隙过紧而影响锥形锁柱的连接。 |
![]() |
127. | 戴入一体化基台冠。 |
![]() |
128. | 轻敲透明丙烯酸定位模板使基台冠初步达到锥形锁柱的连接关系。 |
![]() |
129. | 用装在牙冠就位器上的定制的黄色热凝塑料就位夹具引导就位力沿种植体内径及基台柱的长轴传递。 |
![]() |
130. | 蓝色印记显示左侧切牙有咬合高点。 |
![]() |
131. | 戴入一体化基台冠后,病人微笑的近观。 |
![]() |
132. | 一体化基台冠就位后的X光片。 |
![]() |
133. | 戴入基台冠1天后病人的微笑。 |
![]() |
134. | 戴入基台冠1天后病人的微笑的右侧面观。 |
![]() |
135. | 戴入基台冠1天后病人的微笑的左侧面观。 |
![]() |
136. | 戴入基台冠1天后的唇侧观。 |
![]() |
137. | 戴入基台冠10天后的唇侧观。 |
![]() |
138. | 在黑色背景下在基台冠的唇侧作黑色的标记,确定需要于口内调改牙冠形态的部分。 |
![]() |
139. | 在黑色背景下在基台冠的唇侧作黑色的标记,确定需要于口内调改牙冠形态的部分。 |
![]() |
140. | 用白色的硅树脂抛光轮截短一体化基台冠的切端长度。 |
![]() |
141. | 用白色的硅树脂抛光轮截短一体化基台冠的切端长度。 |
![]() |
142. | 用白色的硅树脂抛光轮磨改一体化基台冠的唇侧轮廓。 |
![]() |
143. | 用粉色的硅树脂抛光轮磨改一体化基台冠的唇侧轮廓。 |
![]() |
144. | 用粉色的硅树脂抛光轮截短一体化基台冠的切端长度。 |
![]() |
145. | 用白色的硅树脂抛光轮磨改一体化基台冠的唇侧轮廓。 |
![]() |
146. | 用灰色的硅树脂刷抛光一体化基台冠的唇侧轮廓。 |
![]() |
147. | 用刚毛刷及抛光剂于口内抛光一体化基台冠。 |
![]() |
148. | 唇侧观。 |
![]() |
149. | 右侧面观。 |
![]() |
150. | 左侧面观。 |
![]() |
151. | 治疗前病人的微笑。 |
![]() |
152. | 治疗后病人的微笑。 |
![]() |
153. | 治疗前病人微笑的右侧面观。 |
![]() |
154. | 治疗后病人微笑的右侧面观。 |
![]() |
155. | 治疗前病人微笑的左侧面观。 |
![]() |
156. | 治疗后病人微笑的左侧面观。 |
![]() |
157. | 修复完成1天后病人的唇颊侧观。 |
![]() |
158. | 修复完成6周后病人的唇颊侧观。 |
|
||