|
即刻稳定和修复 / Bicon一体化基台冠: 左上颌第二双尖牙的拔除、即刻植入和即刻修复,并用一体化基台冠修复 |
||
![]() |
1. | 拔除折断的牙齿。 |
![]() |
2. | 用先锋钻在1100RPM的转速下预备牙槽骨,医生要用手指一直鉴测颊侧骨板。 |
![]() |
3. | 用扩孔钻在50RPM的转速下预备牙槽窝。 |
![]() |
4. | 用直柄上的就位器将一个4.5mm x 8.0mmHA表面的种植体植入。 |
![]() |
5. | 从种植体上取下种植体就位器。 |
![]() |
6. | 酸蚀邻牙。 |
![]() |
7. | 涂抹粘接剂。 |
![]() |
8. | 光照。 |
![]() |
9. | 插入肩台深度量尺,确定肩台的高度。 |
![]() |
10. | 插入临时隐肩基台。 |
![]() |
11. | 轻敲白色塑料隐肩基台使其就位于种植体内径。 |
![]() |
12. | 将长型塑料套筒安放在5.0mm的白色塑料隐肩基台上。 |
![]() |
13. | 磨改塑料套筒。 |
![]() |
14. | 将复合树脂材料DiamondCrown涂在套筒周围。 |
![]() |
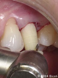
15. | 光照。 |
![]() |
16. | 将树脂材料放在真空模板内。 |
![]() |
17. | 模板覆盖在牙齿和套筒上。 |
![]() |
18. | 光照。 |
![]() |
19. | 于临时冠颈缘的空隙处添加材料。 |
![]() |
20. | 光照。 |
![]() |
21. | 塑形临时冠。 |
![]() |
22. | 塑形临时冠。 |
![]() |
23. | 抛光临时冠。 |
![]() |
24. | 完成的临时冠。 |
![]() |
25. | X光片显临时冠和即刻负重的种植体。 |
![]() |
26. | 拆除临时冠后的龈袖口和种植体内径。 |
![]() |
27. | 将3.0mm的白色印模柱轻敲入种植体内径。 |
![]() |
28. | 在印模柱周围注射印模材料,取种植体水平转移印模。 |
![]() |
29. | 在黑色背景下比色并数码成像,以便于制作美观的修复体。 |
![]() |
30. | 石膏模型上的一体化基台冠。 |
![]() |
31. | 一体化基台冠的镜观。 |
![]() |
32. | 试戴基台冠。 |
![]() |
33. | 一体化基台冠初步就位后可见牙龈处发白。 |
![]() |
34. | 在修复体的 |
![]() |
35. | 牙龈发白处消失后,可见其美观效果。 |
![]() |
36. | 牙龈发白处消失后,可见其美观效果。 |
![]() |
37. | X光片显示就位的一体化基台冠。 |
![]() |
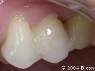
38. | 基台冠戴入1年后的颊侧观。 |
|
||