|
Bicon一体化基台冠: 上颌牙槽嵴劈开术,四颗先天性缺失的牙齿的两阶段式种植,并以Bicon一体化基台冠修复 |
||
![]() |
1. | 术前的笑容。 |
![]() |
2. | 术前的手术区。 |
![]() |
3. | 术前的X光片。 |
![]() |
4. | 可摘局部义齿的唇颊侧观。 |
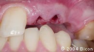
![]() |
5. | 拔牙创。 |
![]() |
6. | 术前的X光片。 |
![]() |
7. | 术前的唇侧观。 |
![]() |
8. | 宽基底龈瓣的唇侧观。 |
![]() |
9. | 翻开龈瓣。 |
![]() |
10. | 用手术刀在牙槽嵴顶作一标志线,确定骨凿的凿骨的位置。 |
![]() |
11. | 轻敲骨凿将牙槽嵴顶初步劈开。 |
![]() |
12. | 用大一号的骨凿劈开牙槽嵴。 |
![]() |
13. | 用大一号的骨凿劈开牙槽嵴。 |
![]() |
14. | 用大一号的骨凿劈开牙槽嵴。 |
![]() |
15. | 使用先锋钻预备前,已经劈开的牙槽嵴的 面观。 |
![]() |
16. | 用2.0mm的先锋钻在1100RPM转速下预备牙槽骨,同时外部冲水降温。 |
![]() |
17. | 插入平行杆,显示骨洞的位置和方向,并作为下一个备洞方向的参考。 |
![]() |
18. | 插入平行杆,显示骨洞的位置和方向,并作为下一个备洞方向的参考。 |
![]() |
19. | 平行杆插入经先锋钻预备的骨洞内显示其位置和轨迹。 |
![]() |
20. | 扩大骨洞时,医生要用手指一直鉴测颊侧骨板。 |
![]() |
21. | 用湖蓝色的3.0mm扩孔钻在50RPM的转速下扩大成型,无需冲水。 |
![]() |
22. | 红色的4.0mm手动扩孔钻刃槽内收集到的骨组织。 |
![]() |
23. | 用直柄上的银色4.5mm手动扩孔钻将骨洞扩大成形。 |
![]() |
24. | 4.5mm手动扩孔钻刃槽内收集到的骨组织。 |
![]() |
25. | 用直柄上的种植体植入器将一个4.5mm x 8.0mmHA表面的种植体植入。 |
![]() |
26. | 就位的种植体内径。 |
![]() |
27. | 轻敲直柄上的种植体就位器将种植体于牙槽窝内进一步就位。 |
![]() |
28. | 引导杆在种植体内径就位,显示种植体的轨迹。 |
![]() |
29. | 安放黑色聚乙烯愈合帽前取下引导杆。 |
![]() |
30. | 将黑色聚乙烯愈合帽插入种植体内径。 |
![]() |
31. | 在就位的种植体及剪断的愈合帽上覆盖收集到的自体骨。 |
![]() |
32. | 在就位的种植体及剪断的愈合帽上覆盖收集到的自体骨。 |
![]() |
33. | 在劈开的牙槽嵴内立即植入四颗种植体后缝合的手术区。 |
![]() |
34. | 即刻植入四颗种植体后的X光片。 |
![]() |
35. | 在黑色背景下比色并数码成像,以便于制作美观的一体化基台冠。 |
![]() |
36. | 种植体植入20周后的手术区。 |
![]() |
37. | 卸下愈合帽前,增宽的牙槽嵴的 面观。 |
![]() |
38. | 卸下愈合帽前,增宽的牙槽嵴的 面观。 |
![]() |
39. | 从种植体内径取出愈合帽。 |
![]() |
40. | 从种植体内径取出愈合帽。 |
![]() |
41. | 从种植体内径取出愈合帽。 |
![]() |
42. | 绿色的3.0mm塑料印模柱插入3.0mm的种植体内径,准备取种植体水平转移印模。 |
![]() |
43. | 轻敲印模柱使其就位。 |
![]() |
44. | 在印模柱周围注射印模材料,取种植体水平转移印模。 |
![]() |
45. | 取模后的四根绿色塑料印模柱。 |
![]() |
46. | 插入肩台深度量尺,确定肩台的合适高度。 |
![]() |
47. | 使用手指将一个4.0mm×3.5mm的隐肩基台压入种植体内径。 |
![]() |
48. | 使用手指将一个4.0mm×3.5mm的隐肩基台压入种植体内径。 |
![]() |
49. | 将短的丙烯酸套筒套在隐肩基台上。 |
![]() |
50. | 将真空成型模板覆盖在套筒上,检查其是否合适。 |
![]() |
51. | 将复合树脂材料注射在模板相应的牙位。 |
![]() |
52. | 添加树脂材料,塑造美观的连接体。 |
![]() |
53. | 将模板覆盖在连接体上制作美观的临时义齿。 |
![]() |
54. | 取下临时义齿抛光。 |
![]() |
55. | 戴入抛光的临时义齿。 |
![]() |
56. | 临时义齿的颊侧观。 |
![]() |
57. | 临时义齿的颊侧观。 |
![]() |
58. | 石膏模型上的一体化基台冠。 |
![]() |
59. | 作减张切口,以便于一体化基台冠的就位。 |
![]() |
60. | 试戴一体化基台冠,确定其是否合适。 |
![]() |
61. | 调磨邻面接触区,因为过紧的邻间隙会影响锥形锁柱的连接关系,很可能会导致日后基台冠的松动。 |
![]() |
62. | 试戴一体化基台冠,确定其是否合适。 |
![]() |
63. | 使用透明丙烯酸定位模板帮助一体化基台冠的初步就位。 |
![]() |
64. | 试戴一体化基台冠,确定其是否合适。 |
![]() |
65. | 用牙冠排列装置上制作的黄色热凝塑料定制就位夹具装在直柄的牙冠就位器上,引导就位力沿种植体内径和基台柱的长轴方向传递。 |
![]() |
66. | 用金色的5.0mm龈沟绞刀清除任何会影响一体化基台冠完全就位的软硬组织。 |
![]() |
67. | 试戴一体化基台冠,确定其是否合适。 |
![]() |
68. | 用牙冠排列装置上制作的黄色热凝塑料定制就位夹具装在直柄的牙冠就位器上,引导就位力沿种植体内径和基台柱的长轴方向传递。 |
![]() |
69. | 用金色的5.0mm龈沟绞刀清除任何会影响一体化基台冠完全就位的软硬组织。 |
![]() |
70. | 试戴一体化基台冠,确定其是否合适。 |
![]() |
71. | 试戴一体化基台冠,确定其是否合适。 |
![]() |
72. | 用金色的5.0mm龈沟绞刀清除任何会影响一体化基台冠完全就位的软硬组织。 |
![]() |
73. | 试戴一体化基台冠,确定其是否合适。 |
![]() |
74. | 一体化基台冠完全就位后的颊侧观。 |
![]() |
75. | 一体化基台冠完全就位后的颊侧观。 |
![]() |
76. | 一体化基台冠完全就位后的颊侧观。 |
![]() |
77. | 戴入一体化基台冠后的X光片。 |
![]() |
78. | 一体化基台冠戴入5周后 。 |
![]() |
79. | 一体化基台冠戴入5周后。 |
![]() |
80. | 治疗前病人的微笑。 |
![]() |
81. | 治疗后病人的微笑。 |
|
||