|
Bicon一体化基台冠 / 即刻稳定和负重 : 上颌中切牙的拔除、即刻种植和负重,并用一体化基台冠修复 |
||
![]() |
1. | 术前病人的微笑。 |
![]() |
2. | 术前口内的情况可见牙冠变色的中切牙。 |
![]() |
3. | 术前的X光片显示上颌中切牙的根管治疗失败。 |
![]() |
4. | 用2.0mm的先锋钻在1100RPM的转速下预备牙槽骨,同时外部冲水降温。 |
![]() |
5. | 插入平行杆显示其位置方向。 |
![]() |
6. | 戴入模板检查骨洞的位置和方向是否合适。 |
![]() |
7. | 在用蓝色的3.5mm扩孔钻在50RPM转速下备洞并收集骨组织的过程中,医生要用手指一直监测颊腭侧的牙槽骨。 |
![]() |
8. | 在用红色的4.0mm手动扩孔钻备洞并收集骨组织的过程中,医生要用手指一直监测颊腭侧的牙槽骨。 |
![]() |
9. | 在用金色的5.0mm手动扩孔钻备洞并收集骨组织的过程中,医生要用手指一直监测颊腭侧的牙槽骨。 |
![]() |
10. | 用直柄上种植体就位器将一个5.0mm x 8.0mmHA表面的种植体植入。 |
![]() |
11. | 肩台深度量尺插入种植体内径,确定肩台的高度。 |
![]() |
12. | 用手指将4.0mm×3.5mm的肩式基台压入种植体内径。 |
![]() |
13. | 将短的丙烯酸套筒套在基台上。 |
![]() |
14. | 真空成型模板覆盖在丙烯酸套筒上,确定其高度是否合适。 |
![]() |
15. | 在模板相应的牙位的唇侧添加复合树脂材料。 |
![]() |
16. | 光照临时修复体。 |
![]() |
17. | 在修复体上添加材料。 |
![]() |
18. | 戴入临时义齿后可见两颗中切牙的牙龈之间的差异。 |
![]() |
19. | 在临时冠的颈缘添加复合材料,从而获得良好的龈缘的形态,消除两颗中切牙牙龈之间的差异。 |
![]() |
20. | 酸蚀邻牙,准备粘结临时义齿。 |
![]() |
21. | 涂抹粘结底漆。 |
![]() |
22. | 涂抹粘结剂。 |
![]() |
23. | 在舌侧添加复合材料使临时冠粘结到相邻的两颗牙齿上。 |
![]() |
24. | 光照复合材料。 |
![]() |
25. | 用碳钢钻调 。 |
![]() |
26. | 病人第一次就诊时的X光片显示即刻种植及即刻负重的种植体。 |
![]() |
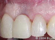
27. | 病人第二次就诊(种植体植入12周后),临时冠的唇侧观。 |
![]() |
28. | 临时冠的唇侧观显示其牙龈发灰,是由于缺失颊侧骨板及牙龈组织较薄。 |
![]() |
29. | 拆除临时冠及基台后的种植体内径。 |
![]() |
30. | 绿色的3.0mm印模绞刀插入引导杆,清除种植体内径任何会影响印模柱完全就位的组织。 |
![]() |
31. | 绿色的3.0mm塑料印模柱插入3.0mm的种植体内径,准备取种植体水平转移印模。 |
![]() |
32. | 轻敲印模柱使其就位。 |
![]() |
33. | 在印模柱周围挤放印模材料,取种植体水平转移印模。 |
![]() |
34. | 在黑色背景下比色,并数码成像,以便于制作美观的一体化基台冠。 |
![]() |
35. | 戴入临时冠前用洗必泰清洁种植体内径。 |
![]() |
36. | 戴入临时冠,可见牙龈变灰是由于里面的金属基台。 |
![]() |
37. | 右侧面观显示颊侧骨组织缺失及变黑的牙龈组织。 |
![]() |
38. | 左侧面观显示颊侧骨组织缺失及变黑的牙龈组织。 |
![]() |
39. | 种植体植入12周后的X光片显示发生骨结合的种植体。 |
![]() |
40. | 石膏模型上的一体化基台冠。 |
![]() |
41. | 石膏模型上的一体化基台冠和丙烯酸定位模板。 |
![]() |
42. | 一体化基台冠通过在一个类似卡钳的装置上制作的黄色热凝塑料就位夹具而在石膏模型上就位,该夹具使就位力沿种植体内径及基台柱的长轴传递。 |
![]() |
43. | 戴入基台冠前临时冠的唇侧观。 |
![]() |
44. |
种植体内径及龈袖口。 |
![]() |
45. | 试戴一体化基台冠。 |
![]() |
46. | 作减张切口,以便于基台冠的就位。 |
![]() |
47. | 在一体化基台冠的颈缘添加粉红色的材料掩饰变黑的牙龈组织。 |
![]() |
48. | 透明定位模板帮助基台冠的定位。 |
![]() |
49. | 调磨邻面接触,因为过紧的邻面接触会影响锥形锁柱的连接关系,可能导致日后修复体的松动。 |
![]() |
50. | 牙冠粉红的颈缘用白色遮色材料代替,掩饰变黑的牙龈组织。 |
![]() |
51. | 将添加了新的遮色材料的基台冠戴入。 |
![]() |
52. | 将在一个类似卡钳的装置上制作的黄色热凝塑料就位夹具安装在直柄上的牙冠就位器上,使就位力沿种植体内径及基台柱的长轴方向传递。 |
![]() |
53. | 戴入后的基台冠。 |
![]() |
54. | 戴入最终修复体后的X光片。 |
![]() |
55. | 病人的微笑。 |
![]() |
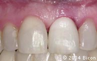
56. | 戴入基台冠5天后的唇侧观显示健康的牙龈,及其变黑处被很好的掩饰。。 |
![]() |
57. | 左侧面观。 |
![]() |
58. | 右侧面观。 |
![]() |
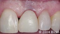
59. | 戴入7周后的唇侧观。 |
|
||