|
即刻稳定和负重 / Bicon一体化基台冠: 上颌右中切牙的拔除、即刻植入、即刻负重,并用一体化基台冠修复 |
||
![]() |
1. | 术前病人的微笑。 |
![]() |
2. | 术前的X光片。 |
![]() |
3. | 术前的手术区。 |
![]() |
4. | 涂抹粘结底漆。 |
![]() |
5. | 涂抹粘结剂。 |
![]() |
6. | 光照粘结剂。 |
![]() |
7. | 拔除根管治疗失败的牙齿。 |
![]() |
8. | 2.0mm的先锋钻在1100RPM的转速下预备牙槽骨,同时外部冲水降温。 |
![]() |
9. | 平行杆就位在牙槽窝内,显示其位置方向。 |
![]() |
10. | 用绿色的2.5mm扩孔钻在50RPM的转速下将骨洞扩大成形,在此过程中医生要用手指一直监测颊侧牙槽骨。 |
![]() |
11. | 湖蓝色的3.0mm扩孔钻在50RPM的转速下扩大成形,无需冲水。 |
![]() |
12. | 用红色的4.0mm扩孔钻在50RPM的转速下将骨洞扩大成形,在此过程中医生要用手指一直监测颊侧牙槽骨。 |
![]() |
13. | 旋转直柄上的4.5mm的手动钻将牙槽窝扩大成形。 |
![]() |
14. | 刮匙刮除骨洞内残留的骨组织,同时确定牙槽窝的5个骨壁的完整性。 |
![]() |
15. | 用直柄上的种植体插入/取出器将4.5mm×8.0mmHA表面的种植体植入。 |
![]() |
16. | 用直柄上的种植体就位器将4.5mm×8.0mmHA表面的种植体完全就位。 |
![]() |
17. | 将肩台深度量尺插入种植体内径,确定肩台的高度。 |
![]() |
18. | 将一个4.0mm×3.5mm的隐肩基台插入种植体内径。 |
![]() |
19. | 将4.0mm×3.5mm的隐肩基台用手指压入种植体内径。 |
![]() |
20. | 将长的丙烯酸套筒套在基台上。 |
![]() |
21. | 截短长的丙烯酸套筒。 |
![]() |
22. | 调磨长的丙烯酸套筒。 |
![]() |
23. | 将复合树脂材料DiamondCrown挤放在丙烯酸套筒周围形成连接体。 |
![]() |
24. | 光照复合树脂材料。 |
![]() |
25. | 添加复合材料将连接体塑造出美观的形态。 |
![]() |
26. | 光照临时稳定修复体。 |
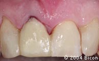
![]() |
27. | 尚未最后抛光的临时义齿。 |
![]() |
28. | 病人第一次就诊结束时的X光片显示即刻种植及即刻负重的种植体。 |
![]() |
29. | 种植体植入9周后的临时义齿。 |
![]() |
30. | 拆除临时义齿后的临时基台。 |
![]() |
31. | 取下临时义齿和基台后的种植体内径。 |
![]() |
32. | 将绿色的3.0mm印模绞刀插入引导杆,去除任何会影响印模柱完全就位的物质。 |
![]() |
33. | 将绿色的3.0mm塑料印模柱插入3.0mm的种植体内径,准备取种植体水平转移印模。 |
![]() |
34. | 轻敲印模柱使其就位。 |
![]() |
35. | 在印模柱周围挤放印模材料,取种植体水平转移印模。 |
![]() |
36. | 在黑色背景下比色并数码成像,以便于制作美观的一体化基台冠。 |
![]() |
37. | 石膏模型上的一体化基台冠和丙烯酸定位模板。 |
![]() |
38. | 一体化基台冠通过一个装在直柄的牙冠就位器上的黄色热凝塑料的定制就位夹具(在类似卡钳的装置上制作的)就位在石膏模型上,这个就位夹具能引导牙冠的就位力沿种植体内径及基台柱的长轴传递。 |
![]() |
39. | 一体化基台冠。 |
![]() |
40. | 戴入一体化基台冠前的临时修复体。 |
![]() |
41. | 种植体内径和龈袖口。 |
![]() |
42. | 用酒精棉清洁基台柱,去除任何会影响锥形锁柱连接关系的物质。 |
![]() |
43. | 试戴一体化基台冠。 |
![]() |
44. | 作腭侧的斜行减张切口,以便于一体化基台冠就位。 |
![]() |
45. | 用金色的5.0mm龈沟绞刀去除任何会影响一体化基台冠完全就位的骨和软组织。 |
![]() |
46. | 用金色的5.0mm龈沟绞刀去除骨和软组织。 |
![]() |
47. | 用牙线检查邻间隙,确定其接触良好不会影响锥形锁柱的连接关系。 |
![]() |
48. | 隔着透明定位模板轻敲,使基台冠初步达到锥形锁柱的连接关系。 |
![]() |
49. | 通过装在直柄的牙冠就位器上的黄色热凝塑料的定制就位夹具(在类似卡钳的装置上制作的)引导牙冠的就位力沿种植体内径及基台柱的长轴传递。 |
![]() |
50. | 咬合印记表明病人在磨牙时的各个极端颌位咬合时都有合适的咬合接触。 |
![]() |
51. | 就位的一体化基台冠的唇侧观。 |
![]() |
52. | 就位的一体化基台冠的右侧面观。 |
![]() |
53. | 就位的一体化基台冠的左侧面观。 |
![]() |
54. | 戴入一体化基台冠后的X光片。 |
![]() |
55. | 消除原先牙龈发白处后牙龈的美观效果。 |
![]() |
56. | 拔牙13周后病人的微笑。 |
![]() |
57. | 戴入一体化基台冠1周后的右侧面近观。 |
![]() |
58. | 戴入一体化基台冠1周后的左侧面近观。 |
![]() |
59. | 戴入基台冠1周后唇侧观。 |
![]() |
60. |
戴入基台冠1周后病人的微笑。 |
![]() |
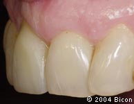
61. |
戴入最终修复体7周后 。 |
|
||