|
即刻稳定和负重 / 聚瓷材料附熔金属 :下颌切牙种植体的植入、即刻负重并用四单位金属树脂固定桥修复 |
||
|
||
![]() |
1. | 术前的X光片。 |
![]() |
2. | 拔除根管治疗失败的牙齿。 |
![]() |
3. | 用2.0mm的先锋钻在1000RPM的转速下初步预备牙槽骨,同时要用冷水冲洗降温。 |
![]() |
4. | 平行杆插入牙槽窝内确定其轨道平行并且位于邻牙近中面的中间位置。 |
![]() |
5. | 用红色的4.0mm扩孔钻在50RPM转速下扩大成形,无需冲水。 |
![]() |
6. | 将获得的骨组织收集在硅橡胶调和碗里。 |
![]() |
7. | 深度量尺插入预备好的牙槽窝内测量其深度。 |
![]() |
8. | 用种植体插入器将一个4.0mm x 11.0mmHA涂层的种植体植入。 |
![]() |
9. | 插入器脱离前,将种植体完全就位。 |
![]() |
10. | 用种植体插入器将一个4.5mm x 8.0mmHA涂层的种植体植入。 |
![]() |
11. | 插入器脱离前,将种植体完全就位。 |
![]() |
12. | 插入肩台深度量尺。 |
![]() |
13. | 用手指将4.0 mm x 3.5 mm隐肩基台(其柱的直径为2.0mm)压进种植体内径。 |
![]() |
14. | 插入肩台深度量尺。 |
![]() |
15. | 用手指将4.0 mm x 3.5 mm隐肩基台(其柱的直径为3.0mm)压进种植体内径。 |
![]() |
16. | 4.0mm的短丙烯酸套筒安放在宽4.0mm的隐肩基台上。 |
![]() |
17. | 两颗套在4.0mm基台上的直径为4.0mm的丙烯酸套筒。 |
![]() |
18. | 真空成型模板覆盖在丙烯酸套筒上,确认是否合适。 |
![]() |
19. | 取下临时义齿抛光。 |
![]() |
20. | 酸蚀邻牙。 |
![]() |
21. | 涂抹粘结剂。 |
![]() |
22. | 光照粘结剂。 |
![]() |
23. | 重新戴入抛光后的临时义齿。 |
![]() |
24. | 光照粘结临时义齿。 |
![]() |
25. | 粘结固定的临时义齿。 |
![]() |
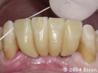
26. | 临时义齿为即刻种植体提供稳定及功能负重等作用。 |
![]() |
27. | X光片显示即刻种植和负重的种植体。 |
![]() |
28. | 从4.0mm的隐肩基台上拆除临时义齿。 |
![]() |
29. | 种植体内径及龈袖口。 |
![]() |
30. | 将黑色印模柱插入2.0mm的种植体内径。 |
![]() |
31. | 将白色印模柱插入3.0mm的种植体内径。 |
![]() |
32. | 轻敲印模柱使其就位。 |
![]() |
33. | 在印模柱周围挤放印模材料,取种植体水平转移印模。 |
![]() |
34. | 在印模柱周围放置红色丙烯酸记录咬合关系。 |
![]() |
35. | 从种植体内径取出咬合记录。 |
![]() |
36. | 将3.0mm 柱的4.0mm x 3.5mm隐肩基台重新插入种植体内径。 |
![]() |
37. | 将一个2.0mm 柱的4.0mm x 1.5mm隐肩基台插入种植体,准备制作新的临时义齿。 |
![]() |
38. | 两颗仅以指压就位的4.0mm隐肩基台。 |
![]() |
39. | 4.0mm的短丙烯酸套筒套在基台上。 |
![]() |
40. | 两颗套在基台上的4.0mm的短丙烯酸套筒。 |
![]() |
41. | 在利用真空成型模板添加材料前,先将Dentsply生产的临时复合材料Integrity挤放在套筒周围,形成连接体。 |
![]() |
42. | 将添加有复合材料的模板覆盖在连接体上。 |
![]() |
43. | 取下透明模板。 |
![]() |
44. | 取下临时义齿抛光。 |
![]() |
45. | 无需粘结将临时义齿吸附在基台上。 |
![]() |
46. | 在黑色金属背景下比色,并数码成像。 |
![]() |
47. | 将白色印模柱与金属种植体代型一起装到印模上。 |
![]() |
48. | 安放在印模上的塑料印模柱与金属种植体代型。 |
![]() |
49. | 在印模上涂抹分离剂。 |
![]() |
50. | 在印模柱和种植体代型周围挤放软组织材料。 |
![]() |
51. | 灌注石膏模型。 |
![]() |
52. | 石膏模型上的塑料印模柱。 |
![]() |
53. | 石膏模型上的在两颗研磨基台上的两段共四单位的金属框架。 |
![]() |
54. | 拆除临时义齿试戴金属框架及研磨基台前的口内情况。 |
![]() |
55. | 拆除临时义齿。 |
![]() |
56. | 取下基台后的种植体内径及龈袖口。 |
![]() |
57. | 在3.0mm的种植体内径安放研磨基台及金属内冠。 |
![]() |
58. | 利用金属内冠来找基台的初步定位。 |
![]() |
59. | 研磨基台插入金属内冠里。 |
![]() |
60. | 在2.0mm的种植体内径安放研磨基台及金属内冠。 |
![]() |
61. | 适当排列两颗金属修复体后,轻敲金属框架将3.0mm基台初步就位。 |
![]() |
62. | 适当排列两颗金属修复体后,轻敲金属框架将2.0mm基台初步就位。 |
![]() |
63. | 移除金属框架后,轻敲3.0mm基台使其完全就位。 |
![]() |
64. | 移除金属框架后,轻敲2.0mm基台使其完全就位。 |
![]() |
65. | 将金属框架戴在就位的基台上检查是否合适。 |
![]() |
66. | 用红色丙烯酸将两段框架接合。 |
![]() |
67. | 用红色丙烯酸记录切端的咬合关系。 |
![]() |
68. | 在金属框架周围注射印模材料,取印模。 |
![]() |
68a. | 取模后,用原先的隐肩基台代替研磨基台,并重新戴入临时义齿。 |
![]() |
69. | 石膏模型上四单位的金属树脂固定桥。 |
![]() |
70. | 修复体的镜观。 |
![]() |
71. | 拆除临时义齿。 |
![]() |
72. | 种植体内径及龈袖口。 |
![]() |
73. | 研磨基台插入修复体内。 |
![]() |
74. | 修复体适当排列后,轻敲修复体使基台初步就位。 |
![]() |
75. | 取下修复体。 |
![]() |
76. | 研磨基台插入修复体内。 |
![]() |
77. | 试戴修复体确定其邻面接触关系良好,不会影响义齿的完全就位。 |
![]() |
78. | 试戴修复体确定其邻面接触关系良好,不会影响义齿的完全就位。 |
![]() |
79. | 拆除临时义齿后将基台完全就位。 |
![]() |
80. | 拆除临时义齿后将基台完全就位。 |
![]() |
81. | 重新戴入临时义齿并用X光片检查基台是否完全就位前,基台的唇侧观。 |
![]() |
82. | 重新戴入义齿并用X光片检查其是否完全就位。 |
![]() |
83. | X光片检查确定义齿完全就位。 |
![]() |
84. | 只需在颈缘涂抹粘结剂。 |
![]() |
85. | 永久粘结11个月后义齿的唇侧观。 |
![]() |
86. | 粘结义齿11个月后的X光片。 |
|
||