|
即刻稳定和负重 / 全瓷冠: 两颗口外粘结的牙冠 |
||
![]() |
1. | 术前的X光片。 |
![]() |
2. | 最后一级扩孔钻从第二双尖牙的牙槽窝内取出。 |
![]() |
3. | 两个预备好的双尖牙种植窝。 |
![]() |
4. | 用种植体插入器将5mm x 8.0mmHA涂层的种植体植入第一双尖牙的位置。 |
![]() |
5. | 用安在直柄上的种植体就位器将种植体轻敲就位。 |
![]() |
6. | 将肩台深度量尺插入种植体内径,根据软组织确定肩台的合适高度。 |
![]() |
7. | 将长的一体式丙烯酸套筒套在5.0mm x 2.0mm肩式基台上。 |
![]() |
8. | 长的一体式丙烯酸套筒及基台插入种植体内径。 |
![]() |
9. | 截短套筒。 |
![]() |
10. | 将4.0mm x 1.5mm基台及长的一体式丙烯酸套筒一起插入第二双尖牙的种植体内径。 |
![]() |
11. | 两颗一体式丙烯酸套筒的颊侧观。 |
![]() |
12. | 一体式丙烯酸套筒上涂抹粘结剂。 |
![]() |
13. | 光照粘结剂。 |
![]() |
14. | 将制作临时义齿的复合材料挤放在套筒周围,形成连接体。 |
![]() |
15. | 取下临时义齿抛光。 |
![]() |
16. | 用流动的复合材料填充临时义齿上的空隙。 |
![]() |
17. | 酸蚀邻牙。 |
![]() |
18. | 涂抹粘结剂。 |
![]() |
19. | 光照粘结剂。 |
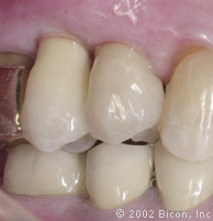
![]() |
20. | 完成粘结的临时义齿。 |
![]() |
21. | X光片显示支持着临时义齿的4.0mm x 1.5mm和5.0mm x 2.0mm肩式基台。 |
![]() |
22. | 种植体植入11周后,拆除临时义齿可见两种植体内径和龈沟。 |
![]() |
23. | 于第二双尖牙的种植体内径插入第二颗3.0mm白色印模柱。 |
![]() |
24. | 两颗经敲击就位的印模柱。 |
![]() |
25. | 在印模柱周围挤放印模材料,取种植体水平转移印模。 |
![]() |
26. | 换上钛合金肩式基台前,软组织模型上的白色印模柱。 |
![]() |
27. | 取下白色印模柱,安放钛合金基台前的软组织模型。 |
![]() |
28. | 软组织模型上的两颗全瓷冠。 |
![]() |
29. | 两颗全瓷冠的镜观显示出氧化铝内核。 |
![]() |
30. | 第一双尖牙的全瓷冠初步就位,确定其颜色及形态是否合适。 |
![]() |
31. | 取下在摘除临时义齿后用来维持龈袖口形态的塑料临时基台。 |
![]() |
32. | 宽3.0mm的种植体内径及全瓷冠的 |
![]() |
33. | 试戴第二双尖牙的全瓷冠,确定其就位。 |
![]() |
34. | 在4.0mm的肩式基台上涂抹金属耦合剂。 |
![]() |
35. | 全瓷冠的氧化铝内核涂抹陶瓷耦合剂。 |
![]() |
36. | 在肩式基台上涂抹粘结剂。 |
![]() |
37. | 在氧化铝套筒上涂抹粘结剂。 |
![]() |
38. | 在肩式基台上涂DiamondLink粘结材料。 |
![]() |
39. | 口外粘结全瓷冠后用棉签清除多余的粘结剂。 |
![]() |
40. | 戴入口外粘结的全瓷冠。 |
![]() |
41. | 轻敲全瓷冠使其完全就位。 |
![]() |
42. | 咬合时的上颌两颗双尖牙的全瓷冠。 |
![]() |
43. | X光片显示两颗全瓷冠。 |
![]() |
44. | 两颗全瓷冠的颊侧观。 |
|
||