|
即刻稳定和负重 / 全牙弓 / 一体化基台冠: 27颗即刻植入、即刻负重的种植体,用一体化基台冠修复 |
||
|
||
![]() |
1. | 术前的X光片。 |
![]() |
2. | 上颌牙齿广泛性的牙冠颈部龋坏。 |
![]() |
3. | 拔牙后的上颌。 |
![]() |
4. | 粉色塑料外科模板就位。 |
![]() |
5. | 真空成型模板就位。 |
![]() |
6. | 用2.0mm的先锋钻在1100RPM的转速下预备牙槽骨,同时用外部冲水降温。 |
![]() |
7. | 2.0mm的先锋钻离开刚预备的牙槽窝。 |
![]() |
8. | 7根平行杆插入牙槽窝内显示其方向位置及轨道。 |
![]() |
9. | 扩孔钻在50RPM的转速下扩大成形。使用的是双手技术,向根方的压力不是由握住手机的手产生的,而是由另一只手的手指产生的。 |
![]() |
10. | 将装在塑料袋子里的种植体安在直柄上的种植体插入器上。 |
![]() |
11. | 植入种植体。 |
![]() |
12. | 植入种植体。 |
![]() |
13. | 肩台深度量尺插入种植体内径,确定合适的肩台高度。 |
![]() |
14. | 肩台深度量尺插入种植体内径,确定合适的肩台高度。 |
![]() |
15. | 就位的种植体的 |
![]() |
16. | 将5.0mm x 4.0mm隐肩基台用手指压进种植体内径。 |
![]() |
17. | 将4.0mm x 1.5mm的隐肩基台指压进种植体内径。基台应该有足够的宽度去支持牙齿之间的龈乳头,而又不会压迫它们。 |
![]() |
18. | 指压就位的肩式基台。 |
![]() |
19. | 磨改丙烯酸套筒以提供龈乳头生长的空间。 |
![]() |
20. | 将丙烯酸套筒套在肩式基台上,使其平面对准颊侧。 |
![]() |
21. | 长的4.0mm丙烯酸套筒安放在宽4.0mm的隐肩基台上。 |
![]() |
22. | 将由技工室制作的临时义齿戴在丙烯酸套筒上。 |
![]() |
23. | 检查戴入临时义齿后的咬合关系。 |
![]() |
24. | 用冷凝丙烯酸重衬临时义齿使其与丙烯酸套筒结合。 |
![]() |
25. | 重衬后的临时义齿戴入。 |
![]() |
26. | 临时义齿的 |
![]() |
27. | 临时义齿的唇颊侧观。 |
![]() |
28. | 取下临时义齿抛光。 |
![]() |
29. | 取下临时义齿抛光。 |
![]() |
30. | 将经抛光的临时义齿套在隐肩基台上。 |
![]() |
31. | 将经抛光的临时义齿套在隐肩基台上。 |
![]() |
32. | 拔牙后的下颌牙弓的情况。 |
![]() |
33. | 2.0mm先锋钻在1100RPM的转速下预备牙槽窝。 |
![]() |
34. | 向根方的压力由放在手机机头上的手指施加。 |
![]() |
35. | 7根平行杆插入牙槽窝内显示其方向位置及其轨道。 |
![]() |
36. | 用螺纹把手上的种植体插入器将3.5mm x 11.0mmHA涂层的种植体植入。 |
![]() |
37. | 用螺纹把手上的种植体插入器将4.5mm x 11.0mmHA涂层的种植体植入。 |
![]() |
38. | 肩台深度量尺插入种植体内径,确定合适的肩台高度。 |
![]() |
39. | 肩台深度量尺插入种植体内径,确定合适的肩台高度。 |
![]() |
40. | 将一个4.0mm x 3.5mm的隐肩基台插入种植体内径。 |
![]() |
41. | 将一个4.0mm x 3.5mm的隐肩基台插入种植体内径。 |
![]() |
42. | 10颗仅用指压就位的的隐肩基台。 |
![]() |
43. | 截短宽4.0mm的长丙烯酸套筒,以适应真空成型模板的使用。 |
![]() |
44. | 四颗截短的丙烯酸套筒套在隐肩基台上。 |
![]() |
45. | 10颗套在基台上的丙烯酸套筒。 |
![]() |
46. | 戴入真空成型模板后确定其咬合。 |
![]() |
47. | 真空成型模板覆盖在丙烯酸套筒上。 |
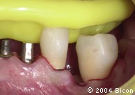
![]() |
48. | 制作临时义齿的复合材料挤放在丙烯酸套筒周围形成连接体。 |
![]() |
49. | 在变硬的连接体上添加更多的复合材料。 |
![]() |
50. | 复合材料挤放在真空成型模板内。 |
![]() |
51. | 在连接体上戴入模板,制作临时义齿。 |
![]() |
52. | 取下模板。 |
![]() |
53. | 取下临时义齿抛光。 |
![]() |
54. | 取下临时义齿抛光。 |
![]() |
55. | 抛光后的临时义齿。 |
![]() |
56. | 隐肩基台的唇颊侧观。 |
![]() |
57. | 抛光后的临时义齿戴入基台上。 |
![]() |
58. | 抛光后的临时义齿戴入基台上。 |
![]() |
59. | 拆除下颌临时义齿,对磨牙进行即刻种植前的口内情况。 |
![]() |
60. | 拆除下颌临时义齿。 |
![]() |
61. | 拆除下颌临时义齿。 |
![]() |
62. | 上下牙弓的唇颊侧观。 |
![]() |
63. | 磨牙即刻种植前的下颌牙弓。 |
![]() |
64. | 磨牙即刻种植后戴入临时义齿的唇颊侧观。 |
![]() |
65. | X光片显示27颗即刻负重的种植体。 |
![]() |
66. | 27颗指压就位的隐肩基台的情况。 |
![]() |
67. | 上颌隐肩基台的 |
![]() |
68. | 上颌种植体的 |
![]() |
69. | 白色的3.0mm的印模柱及黑色的2.0mm印模柱在种植体内径经敲击就位后。 |
![]() |
70. | 在印模柱周围挤放印模材料,取种植体水平转移印模。 |
![]() |
71. | 下颌隐肩基台的 |
![]() |
72. | 印模转移后,将取下的基台按序列号重新安放在各自的种植体内径。 |
![]() |
73. | 下颌14个种植体内径及龈袖口。 |
![]() |
74. | 上颌的3.0mm白色印模柱及2.0mm黑色印模柱的唇颊面观。 |
![]() |
75. | 将2.0mm的黑色塑料印模柱插入种植体内径。 |
![]() |
76. | 将2.0mm的黑色塑料印模柱敲击就位。 |
![]() |
77. | 将3.0mm的白色塑料印模柱敲击就位。 |
![]() |
78. | 下颌就位的印模柱的 |
![]() |
79. | 在印模柱周围挤放印模材料,取种植体水平转移印模。 |
![]() |
80. | 下颌的印模。 |
![]() |
81. | 为了咬合记录,上颌放置部分隐肩基台。 |
![]() |
82. | 为了咬合记录,下颌放置部分隐肩基台。 |
![]() |
83. | 口内放置记录 |
![]() |
84. | 口内放置记录 |
![]() |
85. | 从口内取出的 |
![]() |
86. | 重新安放隐肩基台,用以临时义齿的戴入。 |
![]() |
87. | 利用 |
![]() |
88. | 全口已经制作完成的一体化基台冠的唇颊面观。 |
![]() |
89. | 制作完成的一体化基台冠的右侧面观。 |
![]() |
90. | 制作完成的一体化基台冠的左侧面观。 |
![]() |
91. | 上颌一体化基台冠的腭侧观。 |
![]() |
92. | 一体化基台冠的镜观。 |
![]() |
93. | 下颌一体化基台冠的舌侧观。 |
![]() |
94. | 下颌一体化基台冠的镜观。 |
![]() |
95. | 拆除临时义齿前上颌的唇颊侧观。 |
![]() |
96. | 上颌隐肩基台的 |
![]() |
97. | 上颌种植体内径及龈袖口。 |
![]() |
98. | 上颌种植体内径及龈袖口。 |
![]() |
99. | 戴入第一颗一体化基台冠。 |
![]() |
100. | 戴入第四颗一体化基台冠。 |
![]() |
101. | 使用黄色定位模板帮助一体化基台冠的初步就位。 |
![]() |
102. | 戴入左中切牙修复体。 |
![]() |
103. | 使用黄色定位模板帮助一体化基台冠的就位。评价和消除任何会影响基台与种植体之间的锥形锁柱连接关系的软硬组织及邻面接触对前牙的基台冠就位至关重要。 |
![]() |
104. | 使用黄色定位模板帮助上颌左侧切牙一体化基台冠的就位。注意牙龈发白处消失。 |
![]() |
105. | 使用黄色定位模板帮助一体化基台冠的就位。 |
![]() |
106. | 上颌刚就位的一体化基台冠的 |
![]() |
107. | 用牙线检查邻间隙后,任何过紧的邻面接触都需要调磨。 |
![]() |
108. | 用灰色的硅树脂轮调改邻面接触区。 |
![]() |
109. | 用蓝色咬合纸检查确定过紧的邻面接触。 |
![]() |
110. | 用蓝色咬合纸检查确定过紧的邻面接触。 |
![]() |
111. | 用蓝色咬合纸检查确定过紧的邻面接触。 |
![]() |
112. | 用蓝色咬合纸检查确定过紧的邻面接触。 |
![]() |
113. | 作斜行的减张切口,帮助一体化基台冠理想就位。 |
![]() |
114. | 作斜行的减张切口,帮助一体化基台冠理想就位。 |
![]() |
115. | 作斜行的减张切口,帮助一体化基台冠理想就位。 |
![]() |
116. | 将透明的硬塑料模板套在牙冠上,帮助一体化基台冠初步就位。 |
![]() |
117. | 使用袖口绞刀前,用骨膜分离器将软组织瓣翻开。 |
![]() |
118. | 用螺纹直柄上的袖口绞刀插入引导杆内,再一起放置在种植体内径。 |
![]() |
119. | 插入引导杆旋转袖口绞刀后,可以看到袖口绞刀上带有从种植体顶部清除的骨组织。 |
![]() |
120. | 用袖口绞刀清除影响最终修复体就位的软硬组织后,戴入一体化基台冠。 |
![]() |
121. | 用直柄上的白色塑料临时基台轻敲一体化基台冠使其完全就位。 |
![]() |
122. | 用直柄上的白色塑料临时基台轻敲一体化基台冠使其完全就位。 |
![]() |
123. | 下颌拆除临时义齿后隐肩基台的 |
![]() |
124. | 取下指压就位的隐肩基台后的种植体内径及龈袖口。 |
![]() |
125. | 戴入下颌第一颗一体化基台冠。 |
![]() |
126. | 作斜行的减张切口,帮助一体化基台冠理想就位。 |
![]() |
127. | 作减张切口后牙槽嵴的情况。 |
![]() |
128. | 重新戴入一体化基台冠。 |
![]() |
129. | 戴入另一颗一体化基台冠。 |
![]() |
130. | 黄色的定位模板帮助一体化基台冠的定位。 |
![]() |
131. | 用螺纹把手上的袖口绞刀插入引导杆内,再一起插入种植体内径,用于去除任何影响就位的组织。 |
![]() |
132. | 旋转袖口绞刀清除任何影响就位的组织。 |
![]() |
133. | 将透明的硬塑料模板套在牙冠上,帮助一体化基台冠初步就位。 |
![]() |
134. | 透明的硬塑料模板套在基台冠上。 |
![]() |
135. | 将透明的硬塑料模板套在牙冠上,帮助一体化基台冠初步就位。 |
![]() |
136. | 戴入一体化基台冠。 |
![]() |
137. | 将透明的硬塑料模板套在牙冠上,帮助一体化基台冠初步就位。 |
![]() |
138. | 初步就位的一体化基台冠。 |
![]() |
139. | 用直柄上的白色塑料临时基台轻敲一体化基台冠使其完全就位,达到1.5°的锥形锁柱关系。 |
![]() |
140. | 就位的一体化基台冠。 |
![]() |
141. | 就位的一体化基台冠和隐肩基台。 |
![]() |
142. | 隐肩基台、种植体内径及一体化基台冠的 |
![]() |
143. | 戴入一体化基台冠。 |
![]() |
144. | 作斜行的减张切口,帮助一体化基台冠理想就位。 |
![]() |
145. | 作斜行的减张切口,帮助一体化基台冠理想就位。 |
![]() |
146. | 戴入一体化基台冠。 |
![]() |
147. | 下颌切牙处初步就位的一体化基台牙冠从唇侧观,显示牙龈的美学效果。 |
![]() |
148. | 两颗隐肩基台及两颗初步就位的一体化基台冠的颊侧观。 |
![]() |
149. | 种植体内径的 |
![]() |
150. | 作斜行的减张切口,帮助一体化基台冠理想就位。 |
![]() |
151. | 用螺纹把手上的袖口绞刀插入引导杆内,再一起插入种植体内径,用于去除任何影响就位的组织。 |
![]() |
152. | 将透明的硬塑料模板套在牙冠上,帮助一体化基台冠初步就位。 |
![]() |
153. | 用直柄上的白色塑料临时基台轻敲一体化基台冠使其完全就位。 |
![]() |
154. | 戴入一体化基台冠。 |
![]() |
155. | 螺纹把手上的袖口绞刀插入引导杆上。 |
![]() |
156. | 调磨早接触点。 |
![]() |
157. | 戴入27颗一体化基台冠后病人的微笑。 |
![]() |
158. | 病人戴入最终修复体后,当病人咬紧牙齿时,指示病人移动其下颌到各个极限颌位,用咬合纸检查其正中 |
![]() |
159. | 病人戴入最终修复体后,当病人咬紧牙齿时,指示病人移动其下颌到各个极限颌位,用咬合纸检查其正中 |
![]() |
160. | 病人戴入最终修复体后,当病人咬紧牙齿时,指示病人移动其下颌到各个极限颌位,用咬合纸检查其正中 |
![]() |
161. | 病人戴入最终修复体后,当病人咬紧牙齿时,指示病人移动其下颌到各个极限颌位,用咬合纸检查其正中 |
![]() |
162. | 病人戴入最终修复体后,当病人咬紧牙齿时,指示病人移动其下颌到各个极限颌位,用咬合纸检查其正中 |
![]() |
163. | 病人戴入最终修复体后,当病人咬紧牙齿时,指示病人移动其下颌到各个极限颌位,用咬合纸检查其正中 |
![]() |
164. | 病人戴入最终修复体后,当病人咬紧牙齿时,指示病人移动其下颌到各个极限颌位,用咬合纸检查其正中 |
![]() |
165. | 病人戴入最终修复体后,当病人咬紧牙齿时,指示病人移动其下颌到各个极限颌位,用咬合纸检查其正中 |
![]() |
166. | X光片显示27颗种植体及其一体化基台冠。 |
![]() |
167. | 一体化基台冠的唇颊面观。 |
![]() |
168. | 一体化基台冠的右侧面观。 |
![]() |
169. | 一体化基台冠的左侧面观。 |
|
||