|
即刻稳定和负重 / Bicon一体化基台冠: 上颌左侧切牙牛骨移植,安放Bicon可吸收胶原膜及Bicon一体化基台冠修复 |
||
![]() |
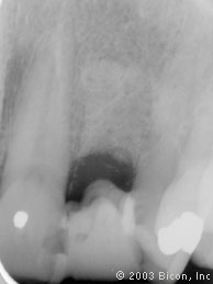
1. | 术前X光片显示失败的根管治疗。 |
![]() |
2. | 术前病人的微笑。 |
![]() |
3. | 龋坏的左侧切牙的近观。 |
![]() |
4. | 拔牙创。 |
![]() |
5. | 清除肉芽组织。 |
![]() |
6. | 复合树脂材料 DiamondCrown挤放在真空吸制模板内,用于制作临时义齿。 |
![]() |
7. | 光照临时义齿。 |
![]() |
8. | 拔牙5周后植骨前的情况。 |
![]() |
9. | 拆除临时义齿后拔牙创的情况。 |
![]() |
10. | 植骨及粘结第二个临时义齿前,酸蚀邻牙。 |
![]() |
11. | 涂抹粘结剂底漆。 |
![]() |
12. | 涂抹粘结剂或定型液。 |
![]() |
13. | 光照粘结剂。 |
![]() |
14. | 初始的切口。 |
![]() |
15. | 翻瓣,用刮匙小心地将粗糙的软硬组织碎屑去除。 |
![]() |
16. | 翻瓣,用刮匙小心地将粗糙的软硬组织碎屑去除。 |
![]() |
17. | 牛制骨移植前骨质缺损区的情况。 |
![]() |
18. | 填加植骨材料后的手术区。 |
![]() |
19. | 放置Bicon可吸收胶原膜前的植骨区。 |
![]() |
20. | 将Bicon可吸收胶原膜裁剪成合适的大小,放置在移植骨上。 |
![]() |
21. | 用Vicryl线缝合。 |
![]() |
22. | 缝合后术区的情况。 |
![]() |
23. | 戴上真空成型模板,用于制作第二个临时义齿。 |
![]() |
24. | 将复合树脂材料DiamondCrown放在邻牙上,以助于模板内的材料的粘结。 |
![]() |
25. | 术区涂抹凡士林,防止复合树脂材料接触到缝合的线上。 |
![]() |
26. | 将复合树脂材料放在真空成型模板相应的牙位,用于制作美观的临时冠。 |
![]() |
27. | 戴上模板。 |
![]() |
28. | 光照新添加的复合树脂材料。 |
![]() |
29. | 临时义齿。 |
![]() |
30. | 术后的X光片。 |
![]() |
31. | 植骨22周后作初始切口,准备种植体植入。 |
![]() |
32. | 翻瓣,可见植骨区。 |
![]() |
33. | 用先锋钻在1100RPM的转速下预备牙槽骨。 |
![]() |
34. | 扩孔钻在50RPM的转速下预备牙槽骨及收集骨的过程中,医生的手指要一直监测颊侧牙槽骨。 |
![]() |
35. | 4.0mm的扩孔钻刃槽中的收集到的骨及植骨材料。 |
![]() |
36. | 扩孔钻在50RPM的转速下预备牙槽骨及收集骨的过程中,医生的手指要一直监测颊侧牙槽骨。 |
![]() |
37. | 用直柄和种植体就位器将5.0mm x 8.0mmHA表面的种植体植入。 |
![]() |
38. | 种植体就位于牙槽窝内。 |
![]() |
39. | 肩台深度量尺插入种植体内径测量肩台的高度。 |
![]() |
40. | 用手指将5.0mm x 4.0mm的隐肩基台压入种植体内。 |
![]() |
41. | 基台套上丙烯酸套筒。 |
![]() |
42. | 丙烯酸套筒吸附在基台上。 |
![]() |
43. | 酸蚀邻牙,用以临时冠的粘结。 |
![]() |
44. | 邻牙的酸蚀面上涂抹粘结剂,用以粘结临时冠。 |
![]() |
45. | 邻牙的酸蚀面上涂抹粘结剂,用以粘结临时冠。 |
![]() |
46. | 光照粘结剂。 |
![]() |
47. | 复合树脂材料DiamondCrown放在丙烯酸套筒及邻牙之间,形成一连接体。 |
![]() |
48. | 光照。 |
![]() |
49. | 临时义齿的唇侧观。 |
![]() |
50. | 拔牙22周后临时冠的X光片。 |
![]() |
51. | 种植体植入11周后临时义齿拆除前的唇侧观。 |
![]() |
52. | 拆除临时冠后可见肩式基台。 |
![]() |
53. | 龈袖口的唇侧观。 |
![]() |
54. | 种植体内径及袖口。 |
![]() |
55. | 白色的3.0mm印模柱插入种植体内径。 |
![]() |
56. | 轻敲印模柱使其就位。 |
![]() |
57. | 印模材料在印模柱周围挤放印模材料,取种植体水平转移印模。 |
![]() |
58. | 在黑色背景下比色,并数码成像。 |
![]() |
59. | 石膏模型上的一体化基台冠。 |
![]() |
60. | 石膏模型上的一体化基台冠。 |
![]() |
61. | 非粘结及非螺栓固位的一体化基台冠的镜观。 |
![]() |
62. | 戴入一体化基台冠前,临时冠的唇侧观。 |
![]() |
63. | 种植体内径及龈袖口。 |
![]() |
64. | 切除过多的腭侧软组织,以便于最终修复体的戴入。 |
![]() |
65. | 摘除过多的腭侧软组织。 |
![]() |
66. | 用5.0mm的袖口绞刀将种植窝内会影响一体化基台牙冠就位的软硬组织去除。 |
![]() |
67. | 用6.5mm的袖口绞刀将种植窝内会影响一体化基台牙冠就位的软硬组织去除。 |
![]() |
68. | 取出6.5mm的袖口绞刀。 |
![]() |
69. | 取出引导杆时可见多余的骨组织。 |
![]() |
70. | 戴入一体化基台冠。 |
![]() |
71. | 一体化基台冠的初步就位。 |
![]() |
72. | 用直柄上的定制就位夹具使就位力沿种植体内径和基台柱的长轴方向传递,保证锥形锁柱的连接。 |
![]() |
73. | 用咬合纸检查病人在磨牙时各个极端 |
![]() |
74. | 调 |
![]() |
75. | 戴入基台冠后的X光片。 |
![]() |
76. | 就位的最终修复体的唇侧观。 |
![]() |
77. | 就位的最终修复体的唇侧近观。 |
|
||