|
即刻稳定和负重 / 金属烤瓷冠: 两颗上颌磨牙种植体的植入并用金属烤瓷冠修复 |
||
|
||
![]() |
1. | 术前不良修复体的颊侧观。 |
![]() |
2. | 术前的X光片。 |
![]() |
3. | 拔除根管治疗失败的磨牙。 |
![]() |
4. | 摘除肉芽肿组织。 |
![]() |
5. | 用2.0mm的先锋钻在1100RPM转速下预备牙槽骨的过程中,医生的手指要一直监测颊侧牙槽骨,并用外部冲水降温。 |
![]() |
6. | 平行杆插入牙槽窝内,确定其轨道。 |
![]() |
7. | 用3.5mm的扩孔钻在50RPM转速下扩大成形,无需冲水,在此过程中,医生的手指要一直监测颊侧牙槽骨。 |
![]() |
8. | 用4.0mm的扩孔钻在50RPM转速下扩大成形,无需冲水,在此过程中,医生的手指要一直监测颊侧牙槽骨。 |
![]() |
9. | 用4.5mm的扩孔钻在50RPM转速下扩大成形,无需冲水,在此过程中,医生的手指要一直监测颊侧牙槽骨。 |
![]() |
10. | 用种植体插入器将5.0mm x 8.0mm TPS表面的种植体植入。 |
![]() |
11. | 用螺纹直柄上的种植体就位器将种植体完全就位。 |
![]() |
12. | X光片显示已经就位的5.0mm x 8.0mm TPS涂层种植体。 |
![]() |
13. | 酸蚀邻牙。 |
![]() |
14. | 酸蚀面上涂抹粘结剂底漆。 |
![]() |
15. | 酸蚀面上涂抹粘结剂。 |
![]() |
16. | 光照。 |
![]() |
17. | 肩台深度量尺插入种植体内径确定肩台的合适高度。 |
![]() |
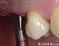
18. | 用手指将一个套着短的丙烯酸套筒的5.0mm x 4.0mm隐肩基台压入种植体内。 |
![]() |
19. | 将复合树脂材料DiamondCrown放置在套筒周围及邻牙的酸蚀面上,形成粘结的临时修复体。 |
![]() |
20. | 光照临时义齿材料。 |
![]() |
21. | 用白色硅树脂片抛光临时义齿。 |
![]() |
22. | 用尼龙刚毛刷抛光临时义齿。 |
![]() |
23. | X光片显示过渡修复体。 |
![]() |
24. | 过渡修复体的唇侧观。 |
![]() |
25. | 种植体植入8周后,上颌窦提升术前的x光片。 |
![]() |
26. | 上颌窦的侧壁观。注意中间突出的上牙槽动脉。 |
![]() |
27. | X光片显示两颗5.0mm x 8.0mmHA表面的种植体植入移植的骨组织中。 |
![]() |
28. | 从骨整合完成的种植体内取出黑色聚乙烯愈合帽。 |
![]() |
29. | 用7.5mm的袖口绞刀套在引导杆上旋转,将种植体周围的骨打平和基台轮廓相适应。 |
![]() |
30. | 将一个5.0mm x 6.5mm无肩基台插入种植体上。 |
![]() |
31. | 基台完全就位,达到锥形锁柱连接。 |
![]() |
32. | 将一个6.5mm x 6.5mm无肩基台插入种植体内。 |
![]() |
33. | 一个7.5mm x 8.0mm无肩基台插入种植体内。 |
![]() |
34. | 用碳刚钻调改7.5mm x 8.0mm基台,从而获得足够的咬合间隙。 |
![]() |
35. | 将紫色丙烯酸套筒套在7.5mm x 8.0mm基台上,基台安放在基台准备柄上。 |
![]() |
36. | 将紫色丙烯酸套筒截短至调改后的基台水平。 |
![]() |
37. | 抛光调改后的基台及套筒。 |
![]() |
38. | 用螺纹曲柄将调改后的7.5mm x 8.0mm基台敲击就位在种植体内,实现锥形锁柱连接。 |
![]() |
39. | 将6.5mm x 6.5mm基台敲击就位在种植体内,实现锥形锁柱连接。 |
![]() |
40. | 将黄色丙烯酸印模转移套筒插入5.0mm x 6.5mm的无肩基台上。 |
![]() |
41. | 调改黄色丙烯酸套筒以适应邻接。 |
![]() |
42. | 调改绿色丙烯酸套筒以适应邻接。 |
![]() |
43. | 将调改后的绿色丙烯酸印模转移套筒插入6.5mm x 6.5mm的无肩基台上。 |
![]() |
44. | 将调改后的紫色丙烯酸印模转移套筒插入7.5mm x 8.0mm的无肩基台上。 |
![]() |
45. | 将黄色套筒完全就位。 |
![]() |
46. | 将绿色套筒完全就位。 |
![]() |
47. | 将印模材料挤放在丙烯酸套筒的周围,取基台水平转移印模。 |
![]() |
48. | 送往技工室前将丙烯酸转移套筒从印模上取下。 |
![]() |
49. | 在黑色背景下比色,并数码成像,以便于制作美观的金属烤瓷冠。 |
![]() |
50. | 将一5.0mm的牙色套筒套在5.0mm的无肩基台上,制作临时义齿。 |
![]() |
51. | 调改5.0mm的牙色套筒。 |
![]() |
52. | 取下6.5mm的牙色套筒。 |
![]() |
53. | 调改6.5mm的牙色套筒。 |
![]() |
54. | 口内调改6.5mm牙色套筒的 |
![]() |
55. | 三个经调改的丙烯酸套筒套在无肩基台上。 |
![]() |
56. | 制作临时义齿的复合材料挤放在丙烯酸套筒上。 |
![]() |
57. | 取下临时义齿抛光。 |
![]() |
58. | 抛光前在临时义齿上添加更多的复合材料。 |
![]() |
59. | 抛光后的临时义齿。 |
![]() |
60. | 无需粘结,将临时义齿戴在临时义齿上。 |
![]() |
61. | 临时义齿就位。 |
![]() |
62. | 在基台水平转移印模上的三颗丙烯酸转移套筒。 |
![]() |
63. | 一个黄色5.0mm、一个绿色6.5mm和一个紫色7.5mm的基台代型。 |
![]() |
64. | 将调改后的紫色丙烯酸套筒戴在直径为7.5mm的紫色基台代型上,并截短超出修复帽的代型,以便能放入基台水平的转移印模中。 |
![]() |
65. | 直径为5.0mm黄色基台代型插入在基台水平转移印模上的5.0mm丙烯酸套筒上。 |
![]() |
66. | 在基台水平转移印模的基台代型周围挤放软组织材料。 |
![]() |
67. | 软组织模型上戴在基台代型上的两个丙烯酸套筒。 |
![]() |
68. | 基台代型和丙烯酸套筒被截短以获得足够的咬合间隙。 |
![]() |
69. | 在石膏模型上的丙烯酸套筒上堆出牙齿的蜡形。 |
![]() |
70. | 丙烯酸套筒及蜡形上制作铸道。 |
![]() |
71. | 丙烯酸套筒及蜡形上制作铸道。 |
![]() |
72. | 用粉红色的压力指示剂材料对铸件的内面喷砂。 |
![]() |
73. | 绿色6.5mm代型上的金属铸件,及在紫色7.5mm的基台代型上的带有指示剂材料的铸件。 |
![]() |
74. | 有指示剂印记的地方提示与基台代型接触的地方。 |
![]() |
75. | 在基台代型上铸件的腭侧观。 |
![]() |
76. | 铸件的颊侧观。 |
![]() |
77. | 石膏模型上调改过的一个5.0mm(黄色),一个6.5mm(绿色),和一个7.5mm(紫色)的基台代型。 |
![]() |
78. | 丙烯酸套筒被截短至经调改后的基台代型的高度,作为口内的矫正帽。 |
![]() |
79. | 在调改后的丙烯酸套筒上用红色丙烯酸作圆点的印记标志其颊侧,于口内作为矫正帽。 |
![]() |
80. | 颊侧标有红色印记、经调改的5.0mm黄色丙烯酸套筒在钛合金基台上就位。 |
![]() |
81. | 颊侧标有红色印记、经调改的6.5mm绿色丙烯酸套筒在钛合金基台上就位。 |
![]() |
82. | 颊侧标有红色印记、经调改的7.5mm紫色丙烯酸套筒在钛合金基台上就位。 |
![]() |
83. | 戴入丙烯酸套筒显示高出套筒部分的钛合金基台要被磨改掉。 |
![]() |
84. | 用碳刚钻将高出黄色的5.0mm丙烯酸套筒的钛基台 |
![]() |
85. | 用碳刚钻将高出绿色的6.5mm丙烯酸套筒的钛基台 |
![]() |
86. | 用碳刚钻将高出绿色的7.5mm丙烯酸套筒的钛基台 |
![]() |
87. | |
![]() |
88. | 将金属内冠戴在磨改后的无肩基台上。 |
![]() |
89. | 将金属内冠戴在磨改后的无肩基台上。 |
![]() |
90. | 将金属内冠戴在磨改后的无肩基台上。 |
![]() |
91. | 铸件内放置白色的压力指示膏,戴在基台上。 |
![]() |
92. | 带有白色指示材料的铸件内部。 |
![]() |
93. | 戴入金属内冠后的X光片。 |
![]() |
94. | 戴上铸件后,用红色丙烯酸作咬合记录。 |
![]() |
95. | 铸件在重新调 |
![]() |
96. | 石膏模型上金属烤瓷冠的颊侧观。 |
![]() |
97. | 石膏模型上金属烤瓷冠的 |
![]() |
98. | 三个金属烤瓷冠的镜观。 |
![]() |
99. | 戴入最终修复体前临时义齿的情况。 |
![]() |
100. | 经调改的无肩基台。 |
![]() |
101. | 试戴7.5mm无肩基台上的金属烤瓷冠。 |
![]() |
102. | 在基台上试戴三颗金属烤瓷冠,确定其美观性及功能性。 |
![]() |
103. | 在牙冠内部的颈缘挤放粘结剂。 |
![]() |
104. | 口内粘结前金属烤瓷冠的内部观。 |
![]() |
105. | 软组织成熟前,粘结好的金属烤瓷冠。 |
![]() |
106. | 戴入三颗独立的金属烤瓷冠后的X光片。 |
![]() |
107. | 戴入1周后。 |
|
||