|
即刻稳定和负重 / Bicon一体化基台冠: 上颌中切牙的拔除、即刻种植、即刻负重及一体化基台冠修复 |
||
![]() |
1. | 术前病人的微笑。 |
![]() |
2. | 术前手术区的情况。 |
![]() |
3. | 酸蚀邻牙,用以临时冠的粘结。 |
![]() |
4. | 涂抹粘接剂。 |
![]() |
5. | 光照粘接剂。 |
![]() |
6. | 拔除根管治疗失败的牙齿。 |
![]() |
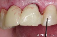
7. | 折裂的牙根。 |
![]() |
7a. | 刮匙刮除残余的牙周膜。 |
![]() |
8. | 使用先锋钻进行初步截骨术时,其初始方向应与牙槽窝的腭侧骨板垂直,一旦先锋钻与骨板接触上,就要将先锋钻摆正使之与邻牙平行。 |
![]() |
9. | 平行杆插入用先锋钻预备好的牙槽窝内确定其轨道。 |
![]() |
10. | 使用模板确定其方向是否合适。 |
![]() |
11. | 用绿色的2.5mm扩孔钻在50RPM转速下预备牙槽窝并收集骨的过程中,医生要用手指监测颊侧牙槽骨。 |
![]() |
12. | 用蓝色的3.0mm扩孔钻在50RPM转速下预备牙槽窝并收集骨的过程中,医生要用手指监测颊侧牙槽骨。 |
![]() |
13. | 用红色的4.0mm扩孔钻在50RPM转速下预备牙槽窝并收集骨的过程中,医生要用手指监测颊侧牙槽骨。 |
![]() |
14. | 用银色的4.5mm扩孔钻在50RPM转速下预备牙槽窝并收集骨的过程中,医生要用手指监测颊侧牙槽骨。 |
![]() |
15. | 用金色的5.0mm扩孔钻在50RPM转速下预备牙槽窝并收集骨的过程中,医生要用手指监测颊侧牙槽骨。 |
![]() |
16. | 刮匙取出残留的骨屑,并确认种植窝内五个骨壁的完整性。 |
![]() |
17. | 捏住黑色聚乙烯愈合帽将5.0mm x 8.0mmHA表面的种植体植入种植窝内。 |
![]() |
18. | 捏住黑色聚乙烯愈合帽将5.0mm x 8.0mmHA表面的种植体植入种植窝内。 |
![]() |
19. | 从种植体上取下愈合帽。 |
![]() |
20. | 用肩台深度量尺测量显示出需要将种植体进一步就位。 |
![]() |
21. | 用直柄装上种植体就位器将种植体向根方进一步就位。 |
![]() |
22. | 肩台深度量尺测量显示出种植体已经进一步就位。 |
![]() |
23. | 比较5.0mm x 4.0mm 和 5.0mm x 6.0mm 隐肩基台,可见除了5.0mm x 6.0mm的基台柱长出2.0mm以外,其余都是相同的。 |
![]() |
24. | 用手指将一5.0mm×4.0mm的隐肩基台压进种植体内径,检查肩台高度是否合适。 |
![]() |
25. | 将一个5.0mm×6.0mm隐肩基台用手指压入种植体,因为对于这个种植体,肩台高度比前一个高的更合适。 |
![]() |
26. | 戴上真空成型模板,确定基台是否合适。 |
![]() |
27. | 将短的丙烯酸套筒套在隐肩基台上。 |
![]() |
28. | 调改丙烯酸套筒。 |
![]() |
29. | 涂抹粘结剂。 |
![]() |
30. | 光照。 |
![]() |
31. | 将制作临时义齿的复合材料放在丙烯酸套筒的周围。 |
![]() |
32. | 将制作临时义齿的复合材料放在丙烯酸套筒的周围。 |
![]() |
33. | 光照复合树脂材料。 |
![]() |
34. | 将复合材料添加在真空成型模板相应牙位的唇面。 |
![]() |
35. | 光照前将真空成型模板覆盖在套筒上。 |
![]() |
36. | 光照。 |
![]() |
37. | 将临时义齿塑形。 |
![]() |
38. | 将收集到的骨填充在基台周围。 |
![]() |
39. | 光照临时稳定修复体。 |
![]() |
40. | 临时义齿上添加复合材料。 |
![]() |
41. | 光照新添加的复合材料。 |
![]() |
42. | 最后抛光前的临时义齿。 |
![]() |
43. | 在病人第一次就诊结束时的X光片显示即刻负重的种植体。 |
![]() |
44. | 种植体植入11个星期后临时义齿的唇侧观。 |
![]() |
45. | 种植体植入11个星期后的X光片。 |
![]() |
46. | 3.0mm的引导杆插入种植体内。 |
![]() |
47. | 绿色的3.0mm印模绞刀套在引导杆上,去除任何会影响印模柱完全就位的组织。 |
![]() |
48. | 将绿色的3.0mm塑料印模柱插入种植体内。 |
![]() |
49. | 轻敲印模柱使其最终就位。 |
![]() |
50. | 在印模柱周围挤放印模材料,取种植体水平转移印模。 |
![]() |
51. | 在黑色金属背景下比色,并数码成像,以便于制作美观的一体化基台冠。 |
![]() |
52. | 石膏模型上的一体化基台冠。 |
![]() |
53. | 一体化基台冠的近观。 |
![]() |
54. | 种植体内径及龈袖口。 |
![]() |
55. | 用酒精棉签清洁种植体内径并干燥。 |
![]() |
56. | 用酒精棉清洁基台柱,去除任何会影响锥形锁柱的碎片。 |
![]() |
57. | 试戴一体化基台冠。 |
![]() |
58. | 用透明丙烯酸定位模板帮助一体化基台冠的定位。 |
![]() |
59. | 用牙线检查邻面接触并确定其不会影响锥形锁柱的连接关系。 |
![]() |
60. | 隔着透明定位模板轻敲,使一体化基台冠初步就位。 |
![]() |
61. | 用黄色热凝塑料定制的就位夹具安装在直柄牙冠就位器上,引导就位力沿种植体及基台柱的长轴方向传递。 |
![]() |
62. | 用酒精棉签清洁种植体内径并干燥。 |
![]() |
63. | 用酒精棉清洁基台柱,去除任何会影响锥形锁柱的碎片。 |
![]() |
64. | 隔着透明定位模板轻敲,使一体化基台冠初步就位。 |
![]() |
65. | 用黄色热凝塑料定制的就位夹具安装在直柄牙冠就位器上,引导就位力沿种植体及基台柱的长轴方向传递。 |
![]() |
66. | 一体化基台冠初步就位后,出现牙龈发白。 |
![]() |
67. | 让患者用最极端的方式磨牙,蓝色印记提示咬合高点。 |
![]() |
68. | 蓝色印记表明患者用最极端的方式磨牙时,咬合关系仍然是合适的。 |
![]() |
69. | 牙龈发白消失后美观的修复效果。 |
![]() |
70. | 一体化基台冠就位后的X光片。 |
![]() |
71. | 拔牙11周后戴入修复体后病人的微笑。 |
![]() |
72. | 戴入最终修复体后病人微笑的右侧面观。 |
![]() |
73. | 戴入最终修复体后病人微笑的左侧面观。 |
![]() |
74. | 戴入最终修复体后的右侧面近观。 |
![]() |
75. | 戴入最终修复体后的左侧面近观。 |
![]() |
76. | 戴入最终修复体后的唇面观。 |
![]() |
77. | 戴入最终修复体两周后的唇面观。 |
![]() |
78. | 戴入一体化基台冠两周后的右侧面近观。 |
![]() |
79. | 戴入一体化基台冠两周后的左侧面近观。 |
![]() |
80. | 入一体化基台冠两周后的唇面近观。 |
|
||