|
Bicon一体化基台冠 / 即刻稳定和负重 : 上颌右中切牙的拔除、即刻植入和负重,并用一体化基台冠修复 |
||
![]() |
1. | 术前X光片显示根管治疗失败的上颌切牙。 |
![]() |
2. | 术前病人的微笑。 |
![]() |
3. | 术前手术区的情况。 |
![]() |
4. | 折断的牙根的 |
![]() |
5. | 拔除折断的牙根。 |
![]() |
6. | 注意,一旦与腭侧骨组织接合后,先锋钻就立刻从一开始的进入方向转向更加垂直的方向。 |
![]() |
7. | 在用扩孔钻在50RPM转速下扩大成形,并进行骨收集时,医生的手指要一直监测颊侧骨板。 |
![]() |
8. | 在用扩孔钻在50RPM转速下扩大成形,并进行骨收集时,医生的手指要一直监测颊侧骨板。 |
![]() |
9. | 在用扩孔钻在50RPM转速下扩大成形,并进行骨收集时,医生的手指要一直监测颊侧骨板。 |
![]() |
10. | 在用扩孔钻在50RPM转速下扩大成形,并进行骨收集时,医生的手指要一直监测颊侧骨板。 |
![]() |
11. | 在用扩孔钻在50RPM转速下扩大成形,并进行骨收集时,医生的手指要一直监测颊侧骨板。 |
![]() |
12. | 用刮匙清除残留的骨碎屑,并确定牙槽窝内五个骨壁的完整性。 |
![]() |
13. | 用直柄上的种植体就位器将5.0mm x 8.0mmHA表面的种植体植入牙槽窝内。 |
![]() |
14. | 植入后的种植体内径。 |
![]() |
15. | 轻敲直柄,将种植体向根方就位。 |
![]() |
16. | 肩台深度标准尺插入种植窝内确定肩台的高度。 |
![]() |
17. | 仅用指压就位的基台。 |
![]() |
18. | 将宽丙烯酸套筒套在基台上。 |
![]() |
19. | 吸附在基台上的丙烯酸套筒。 |
![]() |
20. | 酸蚀邻牙。 |
![]() |
21. | 酸蚀邻牙。 |
![]() |
22. | 邻牙酸蚀面上涂抹粘结底漆。 |
![]() |
23. | 邻牙酸蚀面上涂抹粘结底漆。 |
![]() |
24. | 邻牙酸蚀面上涂抹粘结剂。 |
![]() |
25. | 对粘结剂进行光照。 |
![]() |
26. | 将复合树脂材料DiamondCrown放置在套筒的周围,初步形成一连接体。 |
![]() |
27. | 将复合树脂材料DiamondCrown放置在套筒的周围,初步形成一连接体。 |
![]() |
28. | 光照。 |
![]() |
29. | 在真空成型模板上穿孔,作为材料的排溢孔。 |
![]() |
30. | 在真空成型模板相应的牙位添加树脂材料,用于制作美观的临时义齿。 |
![]() |
31. | 在真空成型模板相应的牙位添加复合材料,用于制作美观的临时义齿。 |
![]() |
32. | 在真空成型模板相应的牙位添加复合材料,用于制作美观的临时义齿。 |
![]() |
33. | 将带有复合材料的真空成型模板套在套筒上。 |
![]() |
34. | 光照。 |
![]() |
35. | 种植体即刻负重的临时稳定义齿。 |
![]() |
36. | 即刻负重种植后的X光片。 |
![]() |
37. | 拆除临时稳定修复体后的肩式基台。 |
![]() |
38. | 种植体内径及龈袖口。 |
![]() |
39. | 白色的3.0mm印模柱插入种植体内径。 |
![]() |
40. | 轻敲印模柱使其最终就位。 |
![]() |
41. | 印模材料挤放在印模柱周围,取种植体水平转移印模。 |
![]() |
42. | 在黑色金属背景下比色,并数码成像。 |
![]() |
43. | 重新戴入临时冠。 |
![]() |
44. |
石膏模型上的一体化基台冠。 |
![]() |
45. | 石膏模型上的定制夹具。 |
![]() |
46. | 一体化基台冠的镜观。 |
![]() |
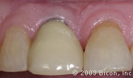
47. | 拆除临时冠戴入一体化基台冠前的情况。 |
![]() |
48. | 拆除临时冠戴入一体化基台冠前的情况。 |
![]() |
49. | 种植体内径及龈袖口的 |
![]() |
50. | 试戴一体化基台冠。 |
![]() |
51. | 一体化基台冠初步就位。 |
![]() |
52. | 使用就位夹具使就位力沿种植体及基台柱的长轴方向传递,以保证锥形锁柱完全锁死。 |
![]() |
53. | 术后的X光片。 |
![]() |
54. | 未戴入一体化基台冠前病人的微笑。 |
![]() |
55. | 戴入一体化基台冠后病人的微笑。 |
![]() |
56. | 就位的一体化基台冠的唇侧观。 |
![]() |
57. | 就位的一体化基台冠的唇侧观。 |
|
||