|
Bicon一体化基台冠 / 即刻稳定和负重 / 短种植体:上颌中切牙的拔除、用短种植体即刻植入和即刻负重,并用一体化基台冠修复 |
||
![]() |
1. | 术前病人的微笑。 |
![]() |
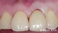
2. | 术前的唇侧观。 |
![]() |
3. | 术前的X光片。 |
![]() |
4. | 拔除内吸收的牙齿。 |
![]() |
5. | 刮匙清除残留的牙周膜韧带。 |
![]() |
6. | 清除多余的组织。 |
![]() |
7. | 在外部冲水的同时用2.0mm的先锋钻在1100RPM的转速下预备牙槽骨。 |
![]() |
8. | 平行杆插在经先锋钻预备的牙槽窝内,显示其位置方向。 |
![]() |
9. | 用绿色的2.5mm扩孔钻在50RPM的转速下扩大成形,无需冲水。 |
![]() |
10. | 用3.0mm扩孔钻在50RPM的转速下扩大成形,无需冲水。 |
![]() |
11. | 用蓝色的3.5mm扩孔钻在50RPM的转速下扩大成形,无需冲水。 |
![]() |
12. | 用银色的4.5mm扩孔钻在50RPM的转速下扩大成形,无需冲水。 |
![]() |
13. | 金色的5.0mm扩孔钻收集到的骨组织。 |
![]() |
14. | 用刮匙清除残留的骨组织并确定牙槽窝五个骨壁的完整性。 |
![]() |
15. | 用螺纹直柄上的种植体就位器将5.0mm x 6.0mmHA表面的种植体植入。 |
![]() |
16. | 就位的种植体内径。 |
![]() |
17. | 用直柄上的种植体就位器将种植体在牙槽窝内进一步就位。 |
![]() |
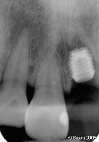
18. | 种植体植入后的X光片。 |
![]() |
19. | 插入肩台深度量尺,为隐肩基台确定合适的肩台高度。 |
![]() |
20. | 调改长的丙烯酸套筒。 |
![]() |
21. | 将5.0mm x 2.0mm隐肩基台及其经调改的丙烯酸套筒插入种植体内径。 |
![]() |
22. | 酸蚀临牙,用于粘接临时稳定修复体。 |
![]() |
23. | 涂抹粘接剂。 |
![]() |
24. | 光照粘接剂。 |
![]() |
25. | 将树脂材料DiamondCrown挤放在套筒周围,在临牙间形成一连接体。 |
![]() |
26. | 光照套筒上的树脂材料。 |
![]() |
27. | 临时修复体上添加树脂材料。 |
![]() |
28. | 光照添加的材料, |
![]() |
29. | 经抛光的临时冠。 |
![]() |
30. | 病人第一次就诊结束时的X光片显示即刻种植及即刻负重的种植体。 |
![]() |
31. | 种植体植入10周后,将绿色的3.0mm塑料印模柱插入种植体内径,取种植体水平转移印模。 |
![]() |
32. | 在黑色背景下比色,并数码成像,以便于制作美观的一体化基台冠。 |
![]() |
33. | 石膏模型上的一体化基台冠。 |
![]() |
34. | 石膏模型上的一体化基台冠及透明丙烯酸定位模板。 |
![]() |
35. | 石膏模型上的一体化基台冠及其黄色热凝塑料就位夹具,该夹具在牙冠排列器上制作,帮助引导就位力沿种植体内径和基台柱的长轴传递。 |
![]() |
36. | 一体化基台冠。 |
![]() |
37. | 用酒精棉签清洁种植体内径。 |
![]() |
38. | 戴入一体化基台冠。 |
![]() |
39. | 作减张切口以便于一体化基台冠的就位。 |
![]() |
40. | 初步就位的一体化基台冠。 |
![]() |
41. | 用牙线检查邻间隙确定邻面接触良好,不会影响锥形锁柱的就位。 |
![]() |
42. | 黄色热凝塑料在牙冠排列器上定制的就位夹具安装在螺纹直柄的牙冠就位器上,确保作用于修复体的就位力沿种植体的内径和基台栓的长轴方向。 |
![]() |
43. | 戴入一体化基台冠后的唇侧观。 |
![]() |
44. | 一体化基台冠的近观。 |
![]() |
45. | 咬合时一体化基台冠的近观。 |
![]() |
46. | 就位的一体化基台冠戴入后的X光片。 |
![]() |
47. | 戴入一体化基台冠1周后。 |
![]() |
48. | 病人的微笑。 |
|
||