|
即刻稳定和负重 / 聚瓷熔附金属: 四颗下颌切牙的拔除,植入两颗即刻负重的种植体,并用四单位的金属树脂固定桥修复 |
||
|
||
![]() |
1. | 术前的X光片。 |
![]() |
2. | 术前的唇侧观。 |
![]() |
3. | 拔除根管治疗失败的牙齿。 |
![]() |
4. | 拔除根管治疗失败的牙齿。 |
![]() |
5. | 搔刮拔牙窝。 |
![]() |
6. | 用2.0mm的先锋钻在1100RPM的转速下预备牙槽骨,同时外部冲水降温。 |
![]() |
7. | 插入平行杆确定其位置方向并作为下一个牙槽窝预备方向的参考。 |
![]() |
8. | 由于非常靠近邻近的尖牙,使用扩孔钻延长器帮助先锋钻备洞。 |
![]() |
9. | 利用平行杆就位在经先锋钻预备的牙槽窝内,显示其位置方向。 |
![]() |
10. | 为了用袖口绞刀将牙槽窝周围的牙槽嵴的高度打平,将2.0mm的引导杆插入经先锋钻预备的牙槽窝内。 |
![]() |
11. | 袖口绞刀插入引导杆内。 |
![]() |
12. | 用袖口绞刀将牙槽窝内牙槽骨的高度打平,因为不均匀的高度会引起扩孔钻的意外移位。 |
![]() |
13. | 开始用绿色的2.5mm扩孔钻在50RPM的转速下扩大成形,无需冲水。 |
![]() |
14. | 插入深度量尺确定预备的牙槽窝是否合适。 |
![]() |
15. | 用黑色聚乙烯愈合帽将内径2.0mm,3.5mm x 11.0mmHA表面的种植体植入。 |
![]() |
16. | 用种植体插入器将3.5mm x 11.0mmHA表面的种植体植入。 |
![]() |
17. | 轻敲装上种植体就位器的螺纹直柄将种植体进一步就位。 |
![]() |
18. | 术后的X光片。 |
![]() |
19. | 涂抹粘接剂底漆。 |
![]() |
20. | 将4.0mm x 3.5mm隐肩基台插入种植体内径。 |
![]() |
21. | 将短的丙烯酸套筒套在隐肩基台上。 |
![]() |
22. | 涂抹粘接底漆。 |
![]() |
23. | 涂抹粘接剂。 |
![]() |
24. | 光照粘接剂。 |
![]() |
25. | 将树脂材料DiamondCrown放在套筒周围形成一连接体。 |
![]() |
26. | 真空成型模板覆盖在连接体上并光照。 |
![]() |
27. | 真空成型模板覆盖在连接体上并光照。 |
![]() |
28. | 添加树脂材料将连接体塑造成美观的形态。 |
![]() |
29. | 添加树脂材料将连接体塑造成美观的形态。 |
![]() |
30. | 抛光前的义齿。 |
![]() |
31. | 取下临时义齿抛光。 |
![]() |
32. | 涂抹粘接剂。 |
![]() |
33. | 光照。 |
![]() |
34. | 将树脂材料涂抹在塑料套筒的周围。 |
![]() |
35. | 将临时义齿套在无肩基台上。 |
![]() |
36. | 光照新添加的材料。 |
![]() |
37. | 粘接的临时义齿的唇侧观。 |
![]() |
38. | 种植体植入16周后的X光片显示已经结合的种植体。 |
![]() |
39. | 种植体植入16周后临时义齿的唇侧观。 |
![]() |
40. | 拆除临时义齿后露出的过渡基台。 |
![]() |
41. | 拆除临时义齿和隐肩基台后的种植体内径。 |
![]() |
42. | 将红色的2.0mm印模绞刀插入引导杆内,清除任何会影响印模柱完全就位的组织。 |
![]() |
43. | 将红色的2.0mm塑料印模柱插入种植体内径,取种植体水平转移印模。 |
![]() |
44. | 轻敲红色塑料印模柱使其就位。 |
![]() |
45. | 将印模材料注射在印模柱周围,取种植体水平转移印模。 |
![]() |
46. | 在黑色背景下比色并数码成像,以便于制作美观的一体化基台冠。 |
![]() |
47. | 取模后重新戴入临时义齿。 |
![]() |
48. | 石膏模型上的两颗位于红色塑料种植体代型上的研磨基台。 |
![]() |
49. | 戴入口内检查其合适性前,先用红色丙烯酸树脂将两段金属铸件连接起来。 |
![]() |
50. | 病人第三次就诊时两颗过渡基台取下前。 |
![]() |
51. | 拆除临时义齿和隐肩基台后的种植体内径。 |
![]() |
52. | 利用金属铸件帮助研磨基台定位于各自的种植体内径。 |
![]() |
53. | 从初步就位的基台上卸下铸件。 |
![]() |
54. | 将研磨基台轻敲进种植体内径。 |
![]() |
55. | 将研磨基台轻敲进种植体内径。 |
![]() |
56. | 将分开的铸件分别敲进研磨基台上。 |
![]() |
57. | 用红色树脂将分开的铸件重新连接。 |
![]() |
58. | 将印模材料注射在铸件周围取印模。 |
![]() |
59. | 在新工作模型上,用取下来的研磨基台和金属种植体代型帮助焊接铸件框架。 |
![]() |
60. | 石膏模型上的修复体。 |
![]() |
61. | 四单位的金属树脂固定桥。 |
![]() |
62. | 病人第四次就诊时临时义齿的唇侧观。 |
![]() |
63. | 病人第四次就诊时两颗过渡基台的唇侧观。 |
![]() |
64. | 卸下隐肩基台。 |
![]() |
65. | 拆除临时义齿和隐肩基台后的种植体内径。 |
![]() |
66. | 将研磨基台插入义齿内。 |
![]() |
67. | 利用义齿将研磨基台定位于各自的种植体内径。 |
![]() |
68. | 轻敲义齿使第一颗研磨基台于种植体内径初步就位。 |
![]() |
69. | 取下义齿。 |
![]() |
70. | 用酒精棉清洁基台柱以除去任何的污染。 |
![]() |
71. | 第二颗研磨基台插入种植体内径。 |
![]() |
72. | 轻敲义齿使第二颗研磨基台于种植体内径初步就位。 |
![]() |
73. | 取下义齿。 |
![]() |
74. | 轻敲基台从而使其完全实现锥形锁柱的连接关系。 |
![]() |
75. | 轻敲基台从而使其完全实现锥形锁柱的连接关系。 |
![]() |
76. | 重新戴入义齿。 |
![]() |
77. | 重新就位的义齿。 |
![]() |
78. | 涂抹分离剂来清除多余的粘接剂。 |
![]() |
79. | 将少量粘接剂注射在内冠的颈缘。 |
![]() |
80. | 将义齿粘接在基台上。 |
![]() |
81. | 粘接好的义齿。 |
![]() |
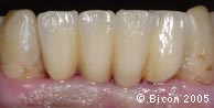
82. | 义齿戴入4周后。 |
|
||