|
Bicon一体化基台冠 / 先天性侧切牙缺失: 在两颗先天缺失的侧切牙位置两阶段式植入两颗种植体,并用一体化基台冠修复。 |
||
| 第一次就诊: | ||
![]() |
1. | 术前X线片显示先天缺失的上颌右侧侧切牙。 |
![]() |
2. | 术前X线片显示先天缺失的上颌左侧侧切牙。 |
![]() |
3. | 术前正面观。 |
![]() |
4. | 术前笑线。 |
![]() |
5. | 原修复体取出后的正面观。 |
![]() |
6. | 术前区域的近观。 |
![]() |
7. | 取下正畸带环后术区的近观。 |
![]() |
8. | 术前X光片。 |
![]() |
9. | 2.0mm先锋钻在1100RPM转速下外冲洗预备左侧切牙骨洞。 |
![]() |
10. | 用橄榄绿色2.5mm电动扩孔钻在55RPM转速下预备骨洞,无需冲水。 |
![]() |
11. | 用湖蓝色3.0mm电动扩孔钻在50RPM转速下预备骨洞,无需冲水。 |
![]() |
12. | 用蓝色3.5mm电动扩孔钻在50RPM转速下预备骨洞,无需冲水。 |
![]() |
13. | 用红色4.0mm手动扩孔钻进一步扩大骨洞。 |
![]() |
14. | 用2.0mm种植体插入/取出器将一个4.0mm x 11.0mm HA表面的种植体完全插入种植窝。 |
![]() |
15. | 上颌左侧侧切牙种植体植入后,暴露于口腔部分为黑色愈合帽。 |
![]() |
16. | 2.0mm先锋钻在1100RPM转速下外冲洗预备 右侧切牙骨洞。 |
![]() |
17. | 用橄榄绿色2.5mm电动扩孔钻在50RPM转速下预备骨洞,无需冲水。 |
![]() |
18. | 用湖蓝色3.0mm电动扩孔钻在50RPM转速下预备骨洞,无需冲水。 |
![]() |
19. | 用蓝色3.5mm手动扩孔钻预备骨洞。 |
![]() |
20. | 用红色4.0mm手动扩孔钻预备骨洞。 |
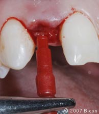
![]() |
21. | 用2.0mm种植体插入/取出器将4.0mm x 8.0mm HA表面的种植体植入种植窝。 |
![]() |
22. | 修整后的愈合帽插入就位的种植体内。 |
![]() |
23. | 将备洞过程中收集到的自体骨放到种植体上。 |
![]() |
24. | 缝合。 |
![]() |
25. | 酸蚀邻牙表面,准备粘结临时修复体。 |
![]() |
26. | 邻牙表面涂布粘结剂。 |
![]() |
27. | 光固化粘结剂。 |
![]() |
28. | 复合材料放置于邻牙之间,连接两邻牙。 |
![]() |
29. | 光固化复合材料。 |
![]() |
30. | 复合材料放置于邻牙之间,连接两邻牙。 |
![]() |
31. | 光固化复合材料。 |
![]() |
32. | 添加材料,修整临时修复体外形。 |
![]() |
33. | 光固化复合材料。 |
![]() |
34. | 修整临时修复体外形。 |
![]() |
35. | 粉色硅盘抛光临时修复体表面。 |
![]() |
36. | 最终完成的临时修复体。 |
![]() |
37. | 术后的X光片。 |
![]() |
38. | 术后的X光片。 |
| 第二次就诊: | ||
![]() |
39. | 取种植体水平印模前的临时修复体外观。 |
![]() |
40. | 取下临时修复体。 |
![]() |
41. | 用愈合帽移除器从种植体内径中取出愈合帽。 |
![]() |
42. | 用愈合帽移除器从种植体内径中取出愈合帽。 |
![]() |
43. | 用红色2.0mm印模绞刀插入引导杆上,清除种植体周围可能影响印模柱完全就位的骨和软组织。 |
![]() |
44. | 将红色的2.0mm印模柱插入种植体内径,准备取种植体水平印模。 |
![]() |
45. | 将印模柱敲击就位。 |
![]() |
46. | 取下临时修复体。 |
![]() |
47. | 用愈合帽移除器从种植体内径中取出愈合帽。 |
![]() |
48. | 从种植体内径中取出的愈合帽。 |
![]() |
49. | 用红色2.0mm印模绞刀插入引导杆上,清除种植体周围可能影响印模柱完全就位的骨和软组织。 |
![]() |
50. | 将红色的2.0mm印模柱插入种植体内径,准备取种植体水平印模。 |
![]() |
51. | 在印模柱周围注射印模材料,取种植体水平转移印模。 |
![]() |
52. | 将原来的临时修复体粘回邻牙牙面。 |
| 第三次就诊: | ||
![]() |
53. | 石膏模型上的一体化基台冠。 |
![]() |
54. | 一体化基台冠上的黄色热塑就位夹具,就位夹具接入直柄上的牙冠就位器,引导就位力沿种植体和基台柱的长轴方向。 |
![]() |
55. | 一体化基台冠的近观。 |
![]() |
56. | 一体化基台冠的近观。 |
![]() |
57. | 取下粘接的临时稳定修复体前的正面观。 |
![]() |
58. | 取下临时修复体。 |
![]() |
59. | 将一体化基台冠插入种植体内径。 |
![]() |
60. | 在牙冠排列架上制作的黄色热塑就位夹具,将其装到螺纹直柄上的牙冠就位器上,引导就位力沿种植体内径和基台柱的长轴方向,从而形成锥形锁柱的连接关系。 |
![]() |
61. | 用金属抛光条修整邻接触。 |
![]() |
62. | 用酒精棉签清洁种植体内径。 |
![]() |
63. | 插入一体化基台冠,注意基台和牙冠所成的大角度。 |
![]() |
64. | 用粉色丙烯酸抛光轮抛光一体化基台冠邻面。 |
![]() |
65. | 在牙冠排列架上制作的黄色热塑就位夹具,将其装到螺纹直柄上的牙冠就位器上,引导就位力沿种植体内径和基台柱的长轴方向,从而形成锥形锁柱的连接关系。 |
![]() |
66. | 一体化基台冠戴入后的近观。 |
![]() |
67. | 修复完成后患者的微笑。 |
| 第四次就诊: | ||
![]() |
68. | 修复完成14个月后正面观。 |
![]() |
69. | 修复完成14个月后左侧面观。 |
![]() |
70. | 修复完成14个月后右侧面观。 |
![]() |
71. | 永久修复完成14个月后患者的微笑。 |
![]() |
72. | 修复完成14个月后的X光片。 |
|
||