|
即刻稳定和负重 / Bicon一体化基台冠: 两个上颌双尖牙 |
||
![]() |
1. | 失败的三单位固定桥。 |
![]() |
2. | X光片显示失败的根管治疗及三单位固定桥的不良修复体。 |
![]() |
3. | 缺牙区牙槽嵴的唇侧观。 |
![]() |
4. | 在腭侧导板的帮助下用先锋钻预备牙槽骨后的 |
![]() |
5. | 将平行杆插入第一双尖牙的牙槽窝内,以其为基准,利用2.0mm的先锋钻预备第二双尖牙处的牙槽骨。 |
![]() |
6. | 平行杆显示初始备洞的轨道。 |
![]() |
7. | 扩孔钻扩大成形。 |
![]() |
8. | 备洞过程中收集到的骨。 |
![]() |
9. | 扩孔钻在50RPM的转速下扩大成形,无需喷水。 |
![]() |
10. | 扩孔钻预备第一双尖牙处的牙槽骨。 |
![]() |
11. | 获得的骨收集在硅胶碗中。 |
![]() |
12. | 种植体植入前预备好的牙槽骨的 |
![]() |
13. | 利用种植体插入器将种植体植入。 |
![]() |
14. | 在第二双尖牙处植入4.5mm x 8.0mmHA涂层的种植体。 |
![]() |
15. | 拧动种植体插入器上的螺帽使之与种植体脱离。 |
![]() |
16. | 两根引导杆插入种植体内径内从而显示其方向。 |
![]() |
17. | 肩台深度量尺插入种植体内径,从而确定合适的肩台高度.。 |
![]() |
18. | 5.0mm x 6.0mm的肩式基台插入第一双尖牙的种植体上。 |
![]() |
19. | 两颗5.0mm宽的肩式基台的唇侧观。 |
![]() |
20. | 一个长的一体式丙烯酸套筒套在第二双尖牙的基台上。 |
![]() |
21. | 缝合一体式丙烯酸套筒周围的牙龈。 |
![]() |
22. | 缝合一体式丙烯酸套筒周围的牙龈。 |
![]() |
23. | 缝合后的牙龈。 |
![]() |
24. | 两颗截短的丙烯酸套筒就位在基台上。 |
![]() |
25. | 光照套筒上的粘接剂。 |
![]() |
26. | 将Dentsply生产的临时义齿复合材料Integrity注射在一体化丙烯酸套筒的周围,形成一个连接体。 |
![]() |
27. | 变硬的连接体。 |
![]() |
28. | 调磨连接体以适应真空成型模板。 |
![]() |
29. | 将Dentsply生产的临时义齿复合材料Integrity注射在真空成型模板的 |
![]() |
30. | 放置真空成型模板制作临时修复体。 |
![]() |
31. | 抛光后的临时义齿粘接就位。 |
![]() |
32. | X光片显示一个5.0mm x 6.0mm及一个5.0mm x 2.0mm的肩式基台,它们只是用手指的力量压入种植体内径内。 |
![]() |
33. | 拆除临时义齿后种植区的唇侧观。 |
![]() |
34. | 3.0mm的白色印模柱插入第二双尖牙处的种植体上。 |
![]() |
35. | 第一双尖牙的种植体上插入印模柱。 |
![]() |
36. | 轻敲印模柱使其完全就位。 |
![]() |
37. | 印模柱周围注入印模材料,取种植体水平转移印模。 |
![]() |
38. | 石膏模型上的两颗双尖牙的一体化基台冠。 |
![]() |
39. | 模型上的透明丙烯酸定位模板。 |
![]() |
40. | 两个一体化基台冠的镜观。 |
![]() |
41. | 拆除前的临时修复体。 |
![]() |
42. | 取下临时义齿后的肩式基台。 |
![]() |
43. | 取下手指压入的肩式基台后种植体内径及软组织袖口的 |
![]() |
44. | 试戴第一双尖牙的一体化基台冠。 |
![]() |
45. | 作斜向减张切口,以便于一体化基台冠的戴入。 |
![]() |
46. | 升高龈乳头的位置,以便于一体化基台冠的戴入。 |
![]() |
47. | 一体化基台冠插入种植体内径。 |
![]() |
48. | 用定位模板帮助一体化基台冠的就位。 |
![]() |
49. | 就位的第一双尖牙的一体化基台冠。 |
![]() |
50. | 隔着定位模板轻敲,使基台冠初步就位。 |
![]() |
51. | 作斜向减张切口,以便于第二双尖牙的基台冠戴入。 |
![]() |
52. | 戴入第二双尖牙的一体化基台冠。 |
![]() |
53. | 用定位模板帮助基台冠就位。 |
![]() |
54. | 两颗一体化基台冠的 |
![]() |
55. | 白色临时基台安装在螺纹直柄上,轻敲基台冠使其最终就位。 |
![]() |
56. | 第二双尖牙的基台冠的最终就位。 |
![]() |
57. | X光片显示就位后的一体化基台冠。 |
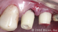
![]() |
58. | 两颗就位后的一体化基台冠的颊侧观。 |
|
||