|
即刻稳定和负重 / Bicon一体化基台冠:拔牙,利用Bicon可吸收胶原膜植骨,上颌左中切牙位置植入种植体,用一体化基台冠修复,并口内添加切端 |
||
|
||
![]() |
1. | 术前X光片。 |
![]() |
2. | 术前笑线。 |
![]() |
3. | 手术部位将拔除的患牙。 |
![]() |
4. | 拔除的患牙。 |
![]() |
5. | 做牙槽嵴顶横行切口,近远中各一垂直松弛切口,翻全厚瓣。注意勿损伤邻牙乳头。 |
![]() |
6. | 刮匙小心刮除拔牙窝内肉芽组织。 |
![]() |
7. | 将Bicon胶原膜裁剪至合适大小,其边缘伸展至近远中及牙槽嵴剩余骨边缘,于腭侧置于粘膜下方,直接覆盖腭侧骨板,一般可使用骨膜分离器抬起腭侧粘膜,不做腭侧粘膜切口。但是,如果粘膜很难抬起,可于腭侧粘膜近远中方向做松弛切口。 |
![]() |
8. | 骨移植材料填满骨缺损,恢复颊侧骨板宽度和高度。 |
![]() |
9. | 骨移植材料填满骨缺损,恢复颊侧骨板宽度和高度。 |
![]() |
10. | 添加植骨材料。 |
![]() |
11. | Bicon可吸收胶原膜覆盖植骨材料。 |
![]() |
12. | 4个0的可吸收线拉拢缝合切口。 |
![]() |
13. | 真空成型模板将复合材料在口内压制成临时修复体,下面放置一片干净的塑料成型片,保护缝线位置。 |
![]() |
14. | 抛光后的修复体于口内就位。 |
![]() |
15. | 咬合纸调整前牙 接触。 |
![]() |
16. | 进一步抛光。 |
![]() |
17. | 最终完成的临时修复体。 |
![]() |
18. | 植骨后的X光片。 |
![]() |
19. | 植骨11个周后,取下临时修复体的正面观。 |
![]() |
20. | 缺牙位点。 |
![]() |
21. | 用2.0mm先锋钻在1100RPM转速下外冲水预备骨洞。 |
![]() |
22. | 用平行杆确认预备位置和方向,并作为下一个扩孔钻的导向。 |
![]() |
23. | 用橄榄绿色的2.5mm手动扩孔钻接在直柄上预备骨洞。 |
![]() |
24. | 3.5mm蓝色手动扩孔钻刃槽中收集到的自体骨。 |
![]() |
25. | 用接在直柄上的蓝色3.5mm骨扩张器扩张骨洞。 |
![]() |
26. | 红色的4.0mm手动扩孔钻刃槽中收集到的自体骨。 |
![]() |
27. | 银色的4.5mm手动扩孔钻继续扩大骨洞。 |
![]() |
28. | 用接在直柄上的银色4.5mm骨扩张器扩张骨洞。 |
![]() |
29. | 将一枚4.5mm x 8.0mmHA涂层种植体植入预备好的骨洞。 |
![]() |
30. | 就位的种植体内径。 |
![]() |
31. | 轻敲种植体就位器,使得种植体完全就位。 |
![]() |
32. | 种植体顶端接入愈合帽。 |
![]() |
33. | 酸蚀邻牙牙面,准备粘接临时稳定修复体。 |
![]() |
34. | 邻牙牙面涂布底涂剂。 |
![]() |
35. | 邻牙牙面涂布粘结剂。 |
![]() |
36. | 光固化粘结剂。 |
![]() |
37. | 利用肩台深度量尺选出合适的肩台高度。 |
![]() |
38. | 轻敲种植体就位器,使得种植体完全就位。 |
![]() |
39. | 肩台深度量尺量出相应的肩台高度,选择4.0mm x 1.5mm隐匿肩式基台使肩台位于龈下。 |
![]() |
40. | 隐匿肩式基台插入种植体内径。 |
![]() |
41. | 临时复合材料放置于丙烯酸套筒上,在两邻牙间形成连接体。 |
![]() |
42. | 临时复合材料放置于丙烯酸套筒上,在两邻牙间形成连接体。 |
![]() |
43. | 光固化临时复合材料。 |
![]() |
44. | 修整临时修复体外形。 |
![]() |
45. | 使用白色硅树脂抛光轮抛光临时冠牙面。 |
![]() |
46. | 使用尼龙抛光布轮继续抛光临时冠牙面。 |
![]() |
47. | 抛光后的临时稳定修复体。 |
![]() |
48. | 临时修复完成后的X光片。 |
![]() |
49. | 种植体植入13周后的临时冠。 |
![]() |
50. | 取下临时修复体后的基台。 |
![]() |
51. | 取下临时基台,准备取全牙弓的种植体水平印模。 |
![]() |
52. | 将绿色的3.0mm引导杆插入种植体内径。 |
![]() |
53. | 将绿色3.0mm印模绞刀插入引导杆上,清除种植体周围可能影响印模柱就位的软组织和骨组织。 |
![]() |
54. | 将入绿色的3.0mm印模柱插入种植体内径,准备取种植体水平印模。 |
![]() |
55. | 将印模柱轻敲就位。 |
![]() |
56. | 印模柱周围注入印模材料取种植体水平印模。 |
![]() |
57. | 黑色塑料背景下比色,以便制做美观的一体化基台冠。 |
![]() |
58. | 取印模三周后,临时修复体取下前。 |
![]() |
59. | 戴入一体化基台冠。 |
![]() |
60. | 牙龈变白提示软组织阻碍牙冠就位,需要做牙槽嵴顶松弛切口,或者调改牙冠外形。 |
![]() |
61. | 做牙槽嵴顶松弛切口,利于一体化基台冠就位。 |
![]() |
62. | 透明的的丙烯酸定位模板帮助一体化基台冠就位。 |
![]() |
63. | 利用在牙冠排列架上定制的黄色热凝塑料就位夹具,引导就位力沿种植体和基台的长轴方向传递。 |
![]() |
64. | 修复完成后病人的微笑。 |
![]() |
65. | 近观显示牙冠完全就位后一体化基台冠切端低于右侧天然中切牙切端。 |
![]() |
66. | 咬合印迹显示修复体无 接触。 |
![]() |
67. | 修复完成后的X光片。 |
![]() |
68. | 修复完成两周后,用细粒度的金刚砂车针打磨一体化基台冠的切端。 |
![]() |
69. | 打磨后的切端涂布粘结剂。 |
![]() |
70. | 切端添加聚合瓷材料。 |
![]() |
71. | 切端添加聚合瓷材料。 |
![]() |
72. | 光固化新添加的聚合瓷材料。 |
![]() |
73. | 添加聚合瓷材料后的一体化基台冠。 |
![]() |
74. | 抛光一体化基台冠。 |
![]() |
75. | 用白色的硅树脂抛光轮抛光一体化基台冠。 |
![]() |
76. | 用粉色丙烯酸树脂抛光杯继续抛光。 |
![]() |
77. | 使用软的刚毛刷加抛光膏进一步抛光。 |
![]() |
78. | 最后使用软皮布料轮进一步打磨抛光。 |
![]() |
79. | 修复完成十六个月后一体化基台冠的唇侧观。 |
![]() |
80. | 右侧面观。 |
![]() |
81. | 左侧面观。 |
![]() |
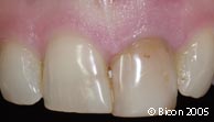
82. | 近观。 |
![]() |
83. | 植骨23个月、种植体植入20个月、修复体完成16个月后的X光片。 |
|
||