|
即刻稳定和负重 / Bicon一体化基台冠: 印模,比色,上颌左切牙种植体的即刻种植和即刻负重,并用一体化基台冠修复 |
||
![]() |
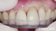
1. | 病人第二次就诊时,粘接稳定的临时修复体被拆除前。 |
![]() |
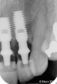
2. | 种植体植入15周后的X光片显示已结合的种植体。 |
![]() |
3. | 绿色的3.0mm印模绞刀插入引导杆,将可能影响印模柱完全就位的组织去除。 |
![]() |
4. | 绿色的3.0mm印模柱放入3.0mm的种植体内径中,取种植体水平转移印模。 |
![]() |
5. | 绿色的3.0mm印模绞刀插入引导杆内,将可能影响印模柱完全就位的组织去除。 |
![]() |
6. | 轻敲印模柱使其正确就位。 |
![]() |
7. | 轻敲印模柱使其正确就位。 |
![]() |
8. | 在印模柱周围挤放印模材料,取全牙弓的种植体水平转移印模。 |
![]() |
9. | 龈袖口。 |
![]() |
10. | 在黑色背景下比色,并数码成像,以便于制作美观的一体化基台冠。。 |
![]() |
11. | 印模转移及比色后重新戴入临时修复体。 |
![]() |
12. | 石膏模型上的一体化基台冠。 |
![]() |
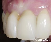
13. | 上颌左侧切牙的一体化基台冠。 |
![]() |
14. | 上颌左中切牙的一体化基台冠。 |
![]() |
15. | 病人第二次就诊4个星期后,取下临时修复体戴入一体化基台冠前。 |
![]() |
16. | 种植体内径及软组织袖口。 |
![]() |
17. | 用蘸有酒精的棉签清洁种植体内径。 |
![]() |
18. | 用酒精棉清洁基台柱,以免任何污渍会影响锥形锁柱的连接关系。 |
![]() |
19. | 戴入上颌左中切牙的基台冠。 |
![]() |
20. | 用蘸有酒精的棉签清洁种植体内径。 |
![]() |
21. | 用酒精棉清洁基台柱,以免任何污渍会影响锥形锁柱的连接关系。 |
![]() |
22. | 戴入上颌左侧切牙的基台冠。 |
![]() |
23. | 用一个透明丙烯酸定位模板帮助一体化基台冠定位。 |
![]() |
24. | 用牙冠排列器和黄色热成形塑料为每个牙冠制作一个就位夹具,将之装在螺纹直柄的就位器上,轻敲直柄,使就位力沿着基台及种植体的长轴方向。 |
![]() |
25. | 用牙冠排列器和黄色热成形塑料为每个牙冠制作一个就位夹具,将之装在螺纹直柄的就位器上,轻敲直柄,使就位力沿着基台及种植体的长轴方向。 |
![]() |
26. | 一体化基台冠的术后X光片。 |
![]() |
27. | 就位的一体化基台冠的右侧观。 |
![]() |
28. | 就位的一体化基台冠的左侧观。 |
![]() |
29. | 病人的微笑。 |
|
||