| Bicon一体化基台冠: 上颌双尖牙的修复 |
||
![]() |
1. | 术前的X光片。 |
![]() |
2. | 从颊-腭向看,临时基台太窄了。 |
![]() |
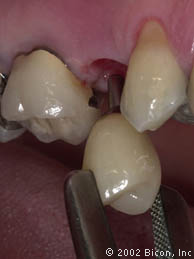
3. | 袖口及种植体内径。 |
![]() |
4. | 在种植体内径周围的顶部牙龈的近远中各做一个切口,以便于颊-腭向较宽的Bicon一体化基台冠的戴入。 |
![]() |
5. | Bicon一体化基台冠是在不用任何粘接剂的情况下,在Bicon基台上直接用复合树脂材料DiamondCrown™制作的。 |
![]() |
6. | 作为单独一个单位,Bicon一体化基台冠戴入种植体上。 |
![]() |
7. | 调磨好咬合及邻接关系后,将Bicon一体化基台冠作为独立单位敲入种植体内就位。 |
![]() |
8. | 龈下的基台与牙冠的结合是非粘接性的,有利于周围牙龈的美观与健康。 |
![]() |
9. | 术后的X光片。 |
|
||