|
即刻稳定和负重 / 全瓷冠: 两颗即刻种植和负重的口外粘接瓷冠 |
||
![]() |
1. | 术前上颌中切牙及牙龈轻度退缩的情况。 |
![]() |
2. | 术前的X光片显示不完全的根管治疗。 |
![]() |
3. | 拔除上颌左中切牙。 |
![]() |
4. | 利用刮匙搔刮残留的牙周膜。 |
![]() |
5. | 牙拔除后的牙槽窝。 |
![]() |
6. | 扩孔钻在40RPM的转速下对牙槽窝行扩大成形,无需冲水。 |
![]() |
7. | 在种植体插入器上装上种植体。 |
![]() |
8. | 种植体放入预备好的牙槽窝内。 |
![]() |
9. | 肩台深度量尺插入种植体内径测量相对于黏膜高度的基台肩台的高度。 |
![]() |
10. | 5.0mm x 4.0mm肩式基台上套上丙烯酸套筒。 |
![]() |
11. | 丙烯酸套筒及肩式基台插入种植体。 |
![]() |
12. | 第二个套筒及肩式基台插入种植体。 |
![]() |
13. | 制作临时冠前的丙烯酸套筒。 |
![]() |
14. | 用真空成型模板检查套筒的间隙是否足够。 |
![]() |
15. | 复合临时义齿材料挤放在丙烯酸套筒周围。 |
![]() |
16. | 临时义齿树脂材料挤放到膜垫的切端1/2处。 |
![]() |
17. | 膜板覆盖丙烯酸套筒。 |
![]() |
18. | 将多余的树脂材料从膜套挤出。 |
![]() |
19. | 从肩式基台上取下临时义齿。 |
![]() |
20. | 从种植体上取下肩式基台。 |
![]() |
21. | 取下第二个基台。 |
![]() |
22. | 白色印模柱插入3.0mm的种植体内径中。 |
![]() |
23. | 指压将第二个白色印模柱插入种植体内径。 |
![]() |
24. | 在印模柱周围注射印模材料。 |
![]() |
25. | 取印模。 |
![]() |
26. | 将白色种植体代型就位在印模柱上。 |
![]() |
27. | 粘接临时义齿前酸蚀邻牙。 |
![]() |
28. | 邻牙涂上粘接剂。 |
![]() |
29. | 光照粘接剂。 |
![]() |
30. | 试戴抛光的有腭侧翼板的临时义齿。 |
![]() |
31. | 临时义齿的龈端观。 |
![]() |
32. | 5.0mm x 4.0mm肩式基台放入临时义齿的套筒内。 |
![]() |
33. | 肩式基台和临时义齿戴入种植体上。 |
![]() |
34. | 临时义齿戴入种植体上。 |
![]() |
35. | 临时义齿粘接在邻牙上,以促进种植体的稳定而形成骨结合。 |
![]() |
36. | 接好的临时义齿。 |
![]() |
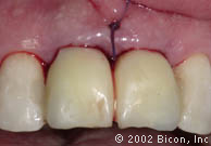
37. | 正中线处的单线缝合是试图改善牙龈外形。 |
![]() |
38. | X光片显示即刻种植的种植体及基台。 |
![]() |
39. | 石膏模型上的白色种植体代型和5.0mm x 2.0mm的基台。 |
![]() |
40. | 氧化铝套筒上瓷前套在基台上。 |
![]() |
41. | 直接在氧化铝套筒上制作全瓷冠。 |
![]() |
42. | 利用红色丙烯酸模板或模具帮助全瓷冠在口内定位。 |
![]() |
43. | 全瓷冠的镜观。 |
![]() |
44. | 即刻种植术后的13个星期,病人第二次就诊时临时冠的唇侧观。 |
![]() |
45. | 取下临时冠。 |
![]() |
46. | 取下临时冠后用指压入位的基台的样子。 |
![]() |
47. | 种植体内径和软组织袖口。 |
![]() |
48. | 试戴5.0mm x 2.0mm肩式基台上的全瓷冠。 |
![]() |
49. | 试戴以检查永久修复体是否就位及美观性。 |
![]() |
50. | 瓷耦合剂涂布在全瓷冠内。 |
![]() |
51. | 金属耦合剂涂布在基台上。 |
![]() |
52. | 基台及牙冠涂上粘接剂。 |
![]() |
53. | 光固。 |
![]() |
54. | 口外粘接全瓷冠。 |
![]() |
55. | 用棉签去除多余的粘接剂。 |
![]() |
56. | 戴入粘接好的牙冠。 |
![]() |
57. | 戴入第二颗牙冠。 |
![]() |
58. | 用丙烯酸定位模具将口外粘接的修复体适当排列后,轻敲牙冠使其沿基台柱的长轴方向就位。 |
![]() |
59. | 就位后的全瓷冠的唇侧观。 |
![]() |
60. | 全瓷冠的近观。 |
![]() |
61. | 即刻种植及即刻负重13个星期后的x光片示:两颗5.0mm x 8.0mm Bicon种植体、肩式基台及全瓷冠。 |
|
||